Immunocytochemistry - Anti-CD31 antibody [JC/70A] (ab9498)
ab9498 staining CD31 in HUVEC cells. The cells were fixed with 4% formaldehyde (10min), permeabilized with 0.1%PBS-Tween for 5 minutes and then blocked with 1% BSA/10% normal goat serum/0.3M glycine in 0.1%PBS-Tween for 1h. The cells were then incubated overnight at +4°C with ab9498 at 1μg/ml and ab6046, Rabbit polyclonal to beta Tubulin - Loading Control, at 1/1000 dilution. Cells were then incubated with ab150117, Goat Anti-Mouse IgG H&L (Alexa Fluor® 488) at 1/1000 dilution (shown in green) and ab150084, Goat polyclonal Secondary Antibody to Rabbit IgG - H&L (Alexa Fluor® 594) at 1/1000 dilution (shown in pseudocolor red). Nuclear DNA was labelled with DAPI (shown in blue).
Image was taken with a confocal microscope (Leica-Microsystems, TCS SP8).
![Immunocytochemistry using anti-CD31 antibody [JC/70A] (ab9498) staining CD31 in HUVEC cells for vascular research](./media_17b77fef8419a3f027c379df82a7573f1ef1c42f8.avif?width=750&format=avif&optimize=medium)
Flow Cytometry - Anti-CD31 antibody [JC/70A] (ab9498)
Flow cytometry staining of human peripheral blood mononuclear cells (PBMCs) with ab9498 (right) or mouse IgG1κ; (ab170190) isotype (left). PBMCs were incubated for 30 min on ice in 1x PBS containing 10 µg/ml human IgG and 10% normal goat serum to block FC receptors and non-specific protein-protein interaction followed by the antibody (ab9498) or mouse IgG1κ; (ab170190) isotype (1x106 in 100 µL at 0.04 µg/ml) for 30 min on ice.
The secondary antibody Goat anti-mouse IgG H&L (Alexa Fluor ® 488, pre-adsorbed) (ab150117) was used at 1:2000 dilution for 30 min on ice.
Acquisition of >30000 events were collected using a 50 mW Blue laser (488nm) and 530/30 bandpass filter. Events were gated on alive cells.

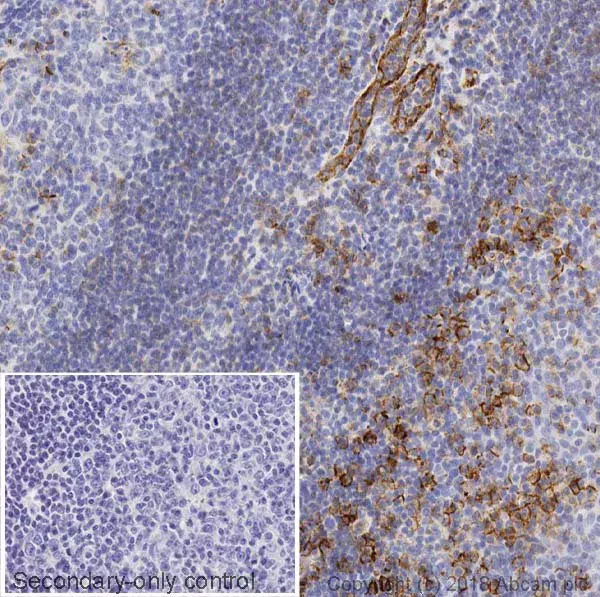
Immunohistochemistry (Formalin/PFA-fixed paraffin-embedded sections) - Anti-CD31 antibody [JC/70A] (ab9498)
IHC image of CD31 staining in a section of formalin-fixed paraffin-embedded normal human tonsil* performed on a Leica BONDTM system using the standard protocol F. The section was pre-treated using heat mediated antigen retrieval with sodium citrate buffer (pH6, epitope retrieval solution 1) for 20mins. The section was then incubated with ab9498, 0.5ug/ml, for 15 mins at room temperature and detected using an HRP conjugated compact polymer system. DAB was used as the chromogen. The section was then counterstained with haematoxylin and mounted with DPX. The inset secondary-only control image is taken from an identical assay without primary antibody.
For other IHC staining systems (automated and non-automated) customers should optimize variable parameters such as antigen retrieval conditions, primary antibody concentration and antibody incubation times.
*Tissue obtained from the Human Research Tissue Bank, supported by the NIHR Cambridge Biomedical Research Centre

Immunocytochemistry - Anti-CD31 antibody [JC/70A] (ab9498)
ab9498 stained in HUVEC cells. Cells were fixed with 100% methanol (5 min) at room temperature and incubated with PBS containing 10% goat serum, 0.3 M glycine, 1% BSA and 0.1% tween for 1h at room temperature to permeabilise the cells and block non-specific protein-protein interactions. The cells were then incubated with the antibody ab9498 at 5 μg/ml and ab6046 (Rabbit polyclonal to beta Tubulin) at 1/1000 dilution overnight at +4°C. The secondary antibodies were ab150080 (pseudo-colored red) and ab150117 (colored green) used at 1 ug/ml for 1hour at room temperature. DAPI was used to stain the cell nuclei (colored blue) at a concentration of 1.43μM for 1hour at room temperature
![Immunocytochemistry image showing anti-CD31 antibody [JC/70A] (ab9498) staining in HUVEC cells](./media_1b1b098d571fc00c7c47af9b162ec09a2a315ade8.avif?width=750&format=avif&optimize=medium)
Immunohistochemistry (Frozen sections) - Anti-CD31 antibody [JC/70A] (ab9498)
IHC image of ab9498 staining in 10% formaldehyde fixed frozen tissue section of human lung.
Non-specific protein-protein interactions were blocked using TBS containing 0.025% (v/v) Triton X-100, 0.3M (w/v) glycine and 3% (w/v) BSA for 1 hour at room temperature. The section was then incubated with ab9498 (1μg/ml concentration) in TBS containing 0.025% (v/v) Triton X-100 and 3% (w/v) BSA overnight at +4°C. The section was then incubated with ab150119 (Goat polyclonal Secondary Antibody to Mouse IgG - H&L (Alexa Fluor® 647)) and DAPI for 1 hour at room temperature.
The DAPI only control (no antibody) inset shows no autofluorescence, demonstrating that any Alexa Fluor® 647 signal is derived directly from bound ab9498.
For other IHC staining systems (automated and non-automated), customers should optimize variable parameters such as antibody concentrations and incubation times.

Immunocytochemistry - Anti-CD31 antibody [JC/70A] (ab9498)
ab9498 stained HUVEC cells. The cells were 100% methanol fixed for 5 minutes at -20°C and then incubated in 1%BSA / 10% normal goat serum / 0.3M glycine in 0.1% PBS-Tween for 1hour at room temperature to permeabilise the cells and block non-specific protein-protein interactions. The cells were then incubated with the antibody (ab9498 at 5μg/ml) overnight at +4°C. The secondary antibody (pseudo-colored green) was Goat Anti-Mouse IgG H&L (Alexa Fluor® 488) preadsorbed (ab150117) used at a 1/1000 dilution for 1hour at room temperature. Alexa Fluor® 594 WGA was used to label plasma membranes (pseudo-colored red) at a 1/200 dilution for 1hour at room temperature. DAPI was used to stain the cell nuclei (pseudo-colored blue) at a concentration of 1.43μM for 1hour at room temperature.
![Immunocytochemistry of HUVEC cells stained with anti-CD31 antibody [JC/70A] (ab9498) for vascular research](./media_15c42f6f3bbfb0dcb4e8f46abb51a3fdc0a43ab69.avif?width=750&format=avif&optimize=medium)
Flow Cytometry - Anti-CD31 antibody [JC/70A] (ab9498)
Overlay histogram showing Jurkat cells stained with ab9498 (red line). The cells were fixed with 4% paraformaldehyde (10 min) and incubated in 1x PBS / 10% normal goat serum / 0.3M glycine to block non-specific protein-protein interactions. The cells were then incubated with the antibody (ab9498, 1/20 dilution) for 30 min at 22°C. The secondary antibody used was DyLight® 488 goat anti-mouse IgG (H+L) (ab96879) at 1/500 dilution for 30 min at 22°C. Isotype control antibody (black line) was mouse IgG1 [ICIGG1] (ab91353, 2µg/1x106 cells) used under the same conditions. Acquisition of
5,000 events was performed. This antibody gave a positive signal in Jurkat cells fixed with methanol (5 min) used under the same conditions.
Please note that Abcam do not have data for use of this antibody on non-fixed cells. We welcome any customer feedback.

Immunohistochemistry (Formalin/PFA-fixed paraffin-embedded sections) - Anti-CD31 antibody [JC/70A] (ab9498)
IHC image of CD31 staining in human spleen formalin fixed paraffin embedded tissue section*, performed on a Leica Bond™ system using the standard protocol F. The section was pre-treated using heat mediated antigen retrieval with sodium citrate buffer (pH6, epitope retrieval solution 1) for 20 mins. The section was then incubated with ab9498, 5μg/ml, for 15 mins at room temperature and detected using an HRP conjugated compact polymer system. DAB was used as the chromogen. The section was then counterstained with haematoxylin and mounted with DPX.
For other IHC staining systems (automated and non-automated) customers should optimize variable parameters such as antigen retrieval conditions, primary antibody concentration and antibody incubation times.
*Tissue obtained from the Human Research Tissue Bank, supported by the NIHR Cambridge Biomedical Research Centre

Western blot - Anti-CD31 antibody [JC/70A] (ab9498)
This blot was produced using a 4-12% Bis-tris under the MOPS buffer system. The gel was run at 200V for 55 minutes before being transferred onto a Nitrocellulose membrane at 30V for 70 minutes. The membrane was blocked for an hour using 3% milk before ab9498 and ab181602 (Rabbit anti-GAPDH loading control) were incubated overnight at 4°C at a 1ug/ml concentration and 1/20000 dilution respectively. Antibody binding was detected using Goat anti-Mouse IgG H&L (IRDye® 800CW) preadsorbed (ab216772) and Goat anti-Rabbit IgG H&L (IRDye® 680RD) preadsorbed (ab216777) secondary antibodies at 1/20000 dilution for 1 hour at room temperature before imaging.
All lanes: Western blot - Anti-CD31 antibody [JC/70A] (ab9498) at 1 µg/mL
Lane 1: HUVEC whole cell lysate at 20 µg
Lane 2: HeLa whole cell lysate at 20 µg
Lane 3: Human kidney tissue lysate at 20 µg
Lane 4: Human spleen tissue lysate at 20 µg
Performed under reducing conditions.
Predicted band size: 82 kDa
Observed band size: 130 kDa
![Western blot - Anti-CD31 antibody [JC/70A] (ab9498) at 1 µg/mL Lane 1: HUVEC lysate (20 µg) Lane 2: HeLa lysate (20 µg) Lane 3: Human kidney lysate (20 µg) Lane 4: Human spleen lysate (20 µg)](./media_136b7e9f6798eea5814907476e60228e651db0b56.avif?width=750&format=avif&optimize=medium)