Immunohistochemistry (Formalin/PFA-fixed paraffin-embedded sections) - Anti-Sodium Potassium ATPase antibody [EP1845Y] - Plasma Membrane Loading Control (ab76020)
ab76020 staining Sodium Potassium ATPase in lung epithelia (top) and bronchiolar epithelia (bottom) from Mouse lung tissue sections by Immunohistochemistry ((IHC) - paraffin-embedded sections). Sections were deparaffined at 60°C and rehydrated by successive incubations in 100% xylol, 100% ethanol and 96% ethanol. Samples were then permeabilized with 0.25% Triton X-100 in PBS for 15 minutes and blocked with 10% bovine serum albumin (BSA) and 0.25% Triton X-100 in PBS for 30 minutes. Samples were incubated with primary antibody (1/100 in 0.25% Triton X-100 and 10% BSA in PBS) for 1 hour 30 minutes at room temperature. An Alexa Fluor®488-conjugated Goat anti-mouse antibody was used as the secondary antibody.
Image from Nieto-Torres JL et al. PLoS Pathog. 2014;10(5):e1004077. Fig 11.; doi: 10.1371/journal.ppat.1004077.

Immunocytochemistry/ Immunofluorescence - Anti-Sodium Potassium ATPase antibody [EP1845Y] - Plasma Membrane Loading Control (ab76020)
T84 cells (human) cultured on 8-well chamber slides, were washed once with ice-cold PBS, then fixed with 4% paraformaldehyde for 30 min at 4°C. After fixation, cells were permeabilized with 0.5% Triton X-100 for 5 min at room temperature and washed with PBS three times. Following blocking with 2% FCS in PBS for 1 hour at room temperature, primary antibody staining was performed at 4°C overnight at 1/200 dilution. Cells were then incubated with protein fractions B12 and C5 at 5x dilutions in fresh media for 1 hour at 37°C. Cells were then fixed, permeabilized and co-stained with fiber and sodium potassium ATPase. The nuclei were stained with DAPI using Vectachield mounting medium. Cells were visualized using Zeiss confocal microscopy LSM700.
Fiber molecules were found to be predominantly intracellularly following B12 treatment.
For full image see PubMed: 25723153.
Zhang B et al., PLoS One, 10, e0117976, 2015 Reproduced under the Creative Commons license http://creativecommons.org/licenses/by/4.0/

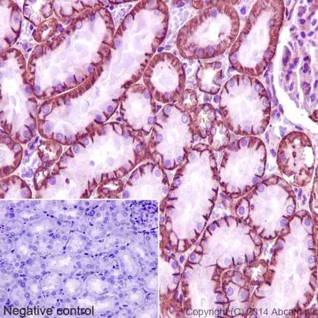
Immunohistochemistry (Formalin/PFA-fixed paraffin-embedded sections) - Anti-Sodium Potassium ATPase antibody [EP1845Y] - Plasma Membrane Loading Control (ab76020)
Immunohistochemical staining of paraffin embedded rat kidney with purified ab76020 at a working dilution of 1 in 100. The secondary antibody used is a HRP conjugated goat anti-rabbit IgG (H+L), ab97051, at a dilution of 1/500. The sample is counter-stained with hematoxylin. Antigen retrieval was perfomed using Tris-EDTA buffer, pH 9.0. PBS was used instead of the primary antibody as the negative control, and is shown in the inset.

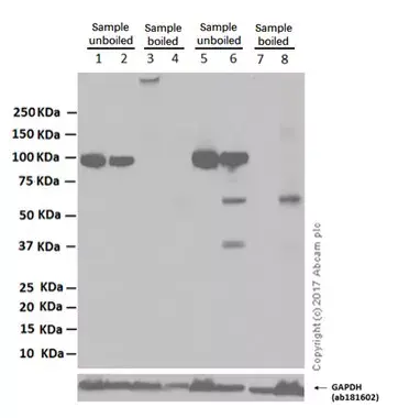
Western blot - Anti-Sodium Potassium ATPase antibody [EP1845Y] - Plasma Membrane Loading Control (ab76020)
Blocking/Diluting buffer and concentration 5% NFDM/TBST
We suggest not to boil the sample after lysis.
All lanes:
Western blot - Anti-Sodium Potassium ATPase antibody [EP1845Y] - Plasma Membrane Loading Control (ab76020) at 1/100000 dilution
Lane 1:
HeLa (Human cervix adenocarcinoma epithelial cell) whole cell lysate prepared from RIPA lysis method at 15 µg
Lane 2:
HeLa whole cell lysate prepared from 1% SDS HOT lysis method at 15 µg
Lane 3:
HeLa whole cell lysate prepared from RIPA lysis method at 15 µg
Lane 4:
HeLa whole cell lysate prepared from 1%SDS HOT lysis method at 15 µg
Lane 5:
Raw264.7 (Mouse abelson murine leukemia virus-induced tumor) whole cell lysate prepared from RIPA lysis method at 15 µg
Lanes 6 and 8:
Raw264.7 whole cell lysate prepared from 1%SDS HOT lysis method at 15 µg
Lane 7:
Raw264.7 whole cell lysate prepared from RIPA lysis method at 15 µg
Secondary
All lanes:
Western blot - Goat Anti-Rabbit IgG H&L (HRP) (ab97051) at 1/20000 dilution
Predicted band size: 113 kDa
Observed band size: 100 kDa
Exposure time: 10s

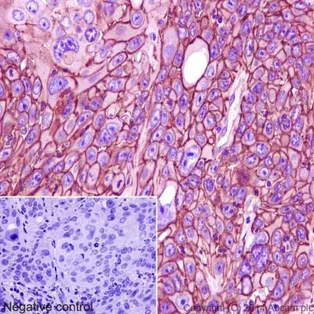
Immunohistochemistry (Formalin/PFA-fixed paraffin-embedded sections) - Anti-Sodium Potassium ATPase antibody [EP1845Y] - Plasma Membrane Loading Control (ab76020)
Immunohistochemical staining of paraffin embedded human cervical carcinoma with purified ab76020 at a working dilution of 1 in 100. The secondary antibody used is a HRP conjugated goat anti-rabbit IgG (H+L), ab97051, at a dilution of 1/500. The sample is counter-stained with hematoxylin. Antigen retrieval was perfomed using Tris-EDTA buffer, pH 9.0. PBS was used instead of the primary antibody as the negative control, and is shown in the inset.

Immunocytochemistry/ Immunofluorescence - Anti-Sodium Potassium ATPase antibody [EP1845Y] - Plasma Membrane Loading Control (ab76020)
Immunocytochemistry/Immunofluorescence analysis of MCF-7 (human breast carcinoma) cells labelling Sodium Potassium ATPase with purified ab76020 at 1/500. Cells were fixed with 100% methanol. ab150077, Alexa Fluor® 488-conjugated goat anti-rabbit IgG (1/1000) was used as the secondary antibody. Nuclei were counterstained with DAPI (blue).
Secondary Only Control: PBS was used instead of the primary antibody as the negative control.
