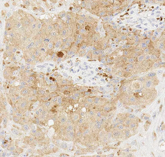
Immunohistochemistry (Formalin/PFA-fixed paraffin-embedded sections) - Anti-BRAF (mutated V600E) antibody [VE1] (ab228461)
Immunohistochemical analysis of formalin-fixed paraffin-embedded human melanoma tissue (carrying mutant BRAF V600E) labelling BRAF (mutated V600E) with ab228461 at 1/100 dilution. The section was pre-treated using heat-mediated antigen retrieval method with sodium citrate buffer (pH6, epitope retrieval solution 1) for 20mins. The section was then incubated with ab228461, 1/100 dilution, at room temperature and detected using a Leica BOND™ Polymer refine kit.

Western blot - Anti-BRAF (mutated V600E) antibody [VE1] (ab228461)
False colour image of Western blot: Anti-BRAF (mutated V600E) antibody [VE1] staining at 1/1000 dilution, shown in green; Rabbit Anti-GAPDH antibody [EPR16891] (ab181602) loading control staining at 1/20000 dilution, shown in red. In Western blot, ab228461 was shown to bind specifically to mutant BRAF V600E. First, samples were run on an SDS-PAGE gel then transferred onto a nitrocellulose membrane. Membranes were blocked in 3 % milk in TBS-0.1 % Tween® 20 (TBS-T) before incubation with primary antibodies overnight at 4°C. Blots were washed four times in TBS-T, incubated with secondary antibodies for 1 h at room temperature, washed again four times then imaged. Secondary antibodies used were Goat anti-Mouse IgG H&L (IRDye® 800CW) preabsorbed (ab216772) and Goat anti-Rabbit IgG H&L (IRDye® 680RD) preabsorbed (ab216777) at 1/20000 dilution.
This image was generated in-house using a previous batch, manufactured using hybridoma production method.
All lanes:
Western blot - Anti-BRAF (mutated V600E) antibody [VE1] (ab228461) at 1/1000 dilution
Lane 1:
HCT 116 cell lysate (wildtype BRAF) at 20 µg
Lane 2:
SW480 cell lysate (wildtype BRAF) at 20 µg
Lane 3:
Caco-2 cell lysate (wildtype BRAF) at 20 µg
Lane 4:
HT-29 cell lysate (mutant BRAF V600E) at 20 µg
Lane 5:
A375 cell lysate (mutant BRAF V600E) at 20 µg
Performed under reducing conditions.
Predicted band size: 84 kDa
Observed band size: 85 kDa
![Western blot - Anti-BRAF (mutated V600E) antibody [VE1] (ab228461) at 1/1000 dilution Lane 1: HCT 116 (wildtype BRAF, 20 µg); Lane 2: SW480 (wildtype BRAF, 20 µg); Lane 3: Caco-2 (wildtype BRAF, 20 µg); Lane 4: HT-29 (mutant BRAF V600E, 20 µg); Lane 5: A375 (mutant BRAF V600E, 20 µg).](./media_1ca5ca8a6f16341d5444d240fef1419f83b5fb3a6.avif?width=750&format=avif&optimize=medium)
Immunohistochemistry (Formalin/PFA-fixed paraffin-embedded sections) - Anti-BRAF (mutated V600E) antibody [VE1] (ab228461)
IHC image of BRAF (mutated V600E) staining in a section of formalin-fixed paraffin-embedded A375 cell line (carrying mutant BRAF V600E) performed on a Leica BONDTM system using the standard protocol. The section was pre-treated using heat mediated antigen retrieval with sodium citrate buffer (pH6, epitope retrieval solution 1) for 20mins. The section was then incubated with ab228461, 5ug/ml, for 15 mins at room temperature and detected using an HRP conjugated compact polymer system. DAB was used as the chromogen. The section was then counterstained with haematoxylin and mounted with DPX. The inset secondary-only control image is taken from an identical assay without primary antibody.
This image was generated in-house using a previous batch, manufactured using hybridoma production method.

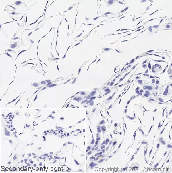
Immunohistochemistry (Formalin/PFA-fixed paraffin-embedded sections) - Anti-BRAF (mutated V600E) antibody [VE1] (ab228461)
Negative control cell line image: IHC image of BRAF (mutated V600E) staining in a section of formalin-fixed paraffin-embedded Caco-2 cell line performed on a Leica BONDTM system using the standard protocol. The section was pre-treated using heat mediated antigen retrieval with sodium citrate buffer (pH6, epitope retrieval solution 1) for 20mins. The section was then incubated with ab228461, 5ug/ml, for 15 mins at room temperature and detected using an HRP conjugated compact polymer system. DAB was used as the chromogen. The section was then counterstained with haematoxylin and mounted with DPX. The inset secondary-only control image is taken from an identical assay without primary antibody.
This image was generated in-house using a previous batch, manufactured using hybridoma production method.

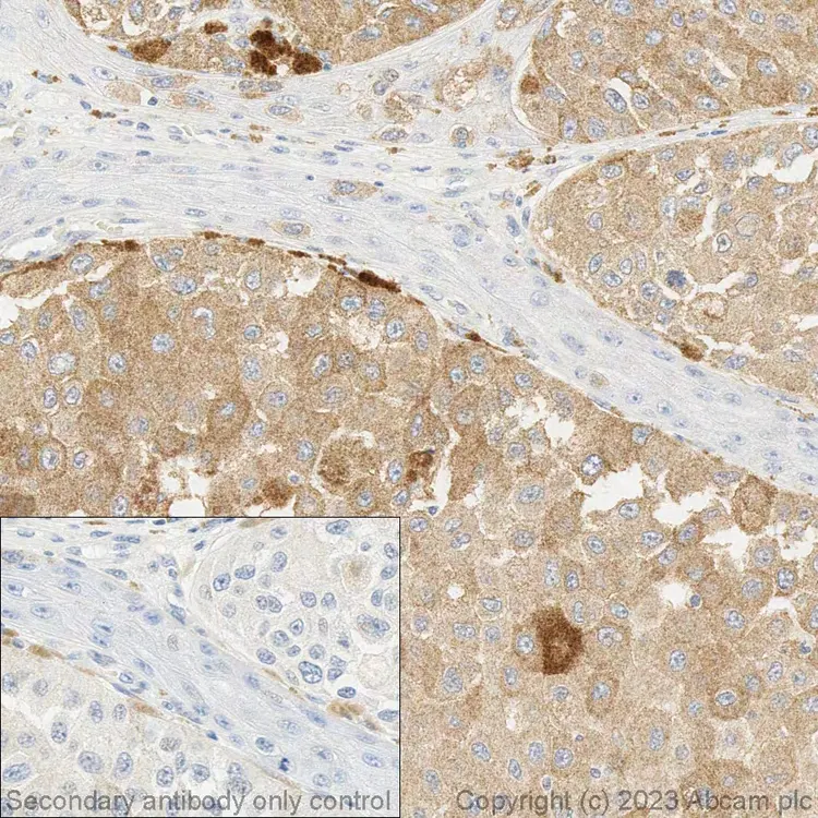
Immunohistochemistry (Formalin/PFA-fixed paraffin-embedded sections) - Anti-BRAF (mutated V600E) antibody [VE1] (ab228461)
Immunohistochemical analysis of formalin fixed paraffin embedded human melanoma labelling BRAF (mutated V600E) with ab228461 at 1/600 dilution. The immunostaining was performed on a Ventana DISCOVERY ULTRA (Roche Tissue Diagnostics) instrument with an OptiView DAB IHC Detection Kit. Heat mediated antigen retrieval was conducted for 32 mins at 100°C with ULTRA cell conditioning solution (CC1, pH 8.5). ab228461 anti-BRAF (mutated V600E) antibody [VE1] was incubated at 37°C for 16 mins. Sections were counterstained with Hematoxylin II. Image inset shows absence of staining in secondary antibody only control.
