Western blot - Goat Anti-Rabbit IgG H&L (HRP) (ab205718)
This blot was produced using a 4-12% Bis-tris gel under the MOPS buffer system. The gel was run at 200V for 50 minutes before being transferred onto a Nitrocellulose membrane at 30V for 70 minutes. The membrane was then blocked for an hour using 2% Bovine Serum Albumin before being incubated with ab8227 overnight at 4°C. Antibody binding was detected using ab205718, and visualised using ECL development solution ab133406.
All lanes:
Western blot - Anti-beta Actin antibody (ab8227) at 1 µg/mL
Lane 1:
Liver (Human) Tissue Lysate at 10 µg
Lane 2:
Liver (Mouse) Tissue Lysate at 10 µg
Lane 3:
Liver (Rat) Tissue Lysate at 10 µg
Lane 4:
HeLa (Human epithelial carcinoma cell line) Whole Cell Lysate at 10 µg
Lane 5:
NIH 3T3 (Mouse embryonic fibroblast cell line) Whole Cell Lysate at 10 µg
Lane 6:
PC12 (Rat adrenal pheochromocytoma cell line) Whole Cell Lysate at 10 µg
Secondary
All lanes:
Western blot - Goat Anti-Rabbit IgG H&L (HRP) (ab205718) at 1/50000 dilution
Developed using the ECL technique.
Performed under reducing conditions.
Predicted band size: 36 kDa
Observed band size: 42 kDa
Exposure time: 30s

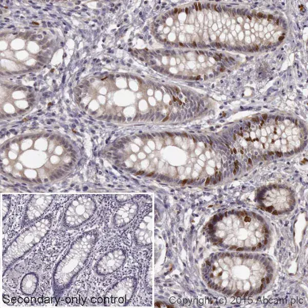
mmunohistochemistry (Formalin/PFA-fixed paraffin-embedded sections) - Goat Anti-Rabbit IgG H&L (HRP) (ab205718)
IHC image of histone H4 staining in a section of formalin-fixed paraffin-embedded normal human colon tissue*. The section was pre-treated using pressure cooker heat mediated antigen retrieval with sodium citrate buffer (pH6) for 30mins, and incubated overnight at +4°C with ab177840 at 1/1000 dilution. An HRP-conjugated secondary (ab205718, 1/20000 dilution) was used to detect the primary for 1hr at room temperature. DAB was used as the chromogen (ab103723), diluted 1/100 and incubated for 10min at room temperature. The section was counterstained with haematoxylin and mounted with DPX. The inset negative control image is taken from an identical assay without primary antibody.
For other IHC staining systems (automated and non-automated) customers should optimize variable parameters such as antigen retrieval conditions, primary antibody concentration and antibody incubation times.
*Tissue obtained from the Human Research Tissue Bank, supported by the NIHR Cambridge Biomedical Research Centre

Immunohistochemistry (Formalin/PFA-fixed paraffin-embedded sections) - Goat Anti-Rabbit IgG H&L (HRP) (ab205718)
IHC image of beta tubulin staining in a section of formalin-fixed paraffin-embedded normal human colon tissue*. The section was pre-treated using pressure cooker heat mediated antigen retrieval with sodium citrate buffer (pH6) for 30mins, and incubated overnight at +4°C with ab6046 at 1/100 dilution. An HRP-conjugated secondary (ab205718, 1/20000 dilution) was used to detect the primary for 1hr at room temperature. DAB was used as the chromogen (ab103723), diluted 1/100 and incubated for 10min at room temperature. The section was counterstained with haematoxylin and mounted with DPX. The inset negative control image is taken from an identical assay without primary antibody.
For other IHC staining systems (automated and non-automated) customers should optimize variable parameters such as antigen retrieval conditions, primary antibody concentration and antibody incubation times.
*Tissue obtained from the Human Research Tissue Bank, supported by the NIHR Cambridge Biomedical Research Centre

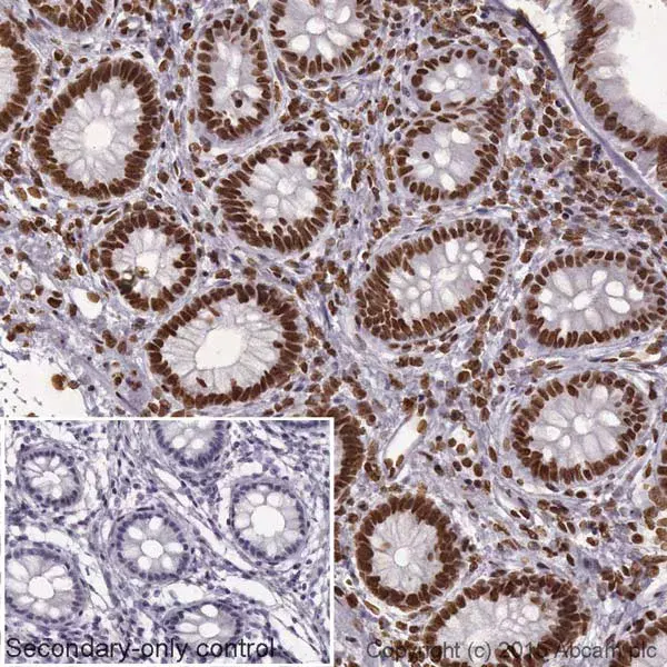
Immunohistochemistry (Formalin/PFA-fixed paraffin-embedded sections) - Goat Anti-Rabbit IgG H&L (HRP) (ab205718)
IHC image of Ki67 staining in a section of formalin-fixed paraffin-embedded normal human colon tissue*. The section was pre-treated using pressure cooker heat mediated antigen retrieval with sodium citrate buffer (pH6) for 30mins, and incubated overnight at +4°C with ab15580 at 1/1000 dilution. An HRP-conjugated secondary (ab205718, 1/20000 dilution) was used to detect the primary for 1hr at room temperature. DAB was used as the chromogen (ab103723), diluted 1/100 and incubated for 10min at room temperature. The section was counterstained with haematoxylin and mounted with DPX. The inset negative control image is taken from an identical assay without primary antibody.
For other IHC staining systems (automated and non-automated) customers should optimize variable parameters such as antigen retrieval conditions, primary antibody concentration and antibody incubation times.
*Tissue obtained from the Human Research Tissue Bank, supported by the NIHR Cambridge Biomedical Research Centre

ELISA - Goat Anti-Rabbit IgG H&L (HRP) (ab205718)
Cross-reactivity of the polyclonal secondary antibody ab182016 was tested using a sandwich ELISA approach. The wells were coated with the indicated IgG standards at 1 μg/ml (50 μl/well) and incubated overnight at 4°C, followed by a 5% BSA blocking step for 2h at RT. ab182016 was then added starting at 1 μg/ml and gradually diluted 1/4 (50 μl/well), followed by incubation for 2h. For the detection Donkey anti-Goat IgG H&L (HRP) (ab6885) was used at 1/10,000 dilution (50 μl/well), followed by incubation for 1h at RT.
This data was developed using the unconjugated antibody (ab182016).

ELISA - Goat Anti-Rabbit IgG H&L (HRP) (ab205718)
Cross-reactivity of Goat anti-Rabbit IgG H&L (ab182016) and Goat anti-Rabbit IgG H&L obtained from two different vendors was tested using a sandwich ELISA approach. The wells were coated with the indicated IgG standards (Rabbit, Human, Mouse and Rat) at 1 μg/ml (50 μl/well) and incubated overnight at 4°C, followed by a 5% BSA blocking step for 2h at RT. Secondary antibodies were then added starting at 1 μg/ml and gradually diluted 1/4 (50 μl/well), followed by incubation for 2h. For the detection Donkey anti-Goat IgG H&L (HRP) (ab6885) was used at 1/10,000 dilution (50 μl/well), followed by incubation for 1h at RT. This data is from a representative dilution.
This data was developed using the unconjugated antibody (ab182016).
