JavaScript is disabled in your browser. Please enable JavaScript to view this website.

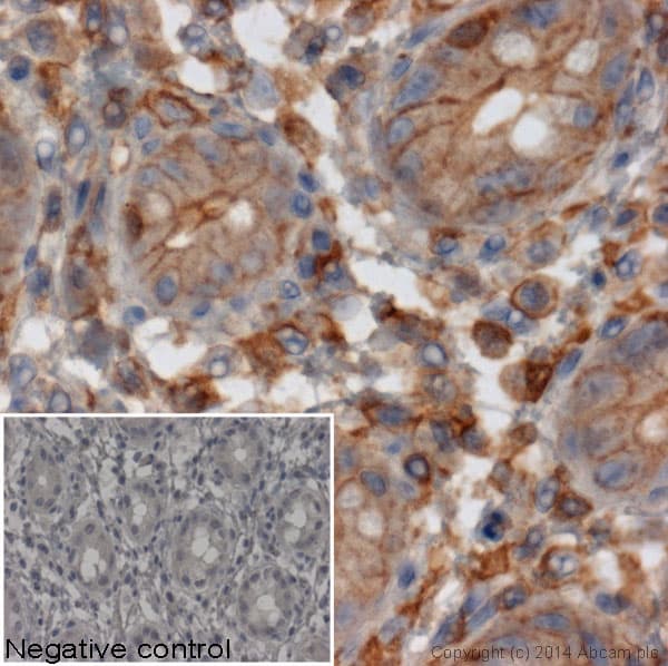
Mouse monoclonal [SB62a] Anti-Rabbit IgG light chain (HRP)(AB99697)

$undefined

Mouse monoclonal [SB62a] Anti-Rabbit IgG light chain (HRP)(AB99697)

Mouse monoclonal [SB62a] Anti-Rabbit IgG light chain (HRP)(AB99697)

Mouse monoclonal [SB62a] Anti-Rabbit IgG light chain (HRP)(AB99697)

Mouse monoclonal [SB62a] Anti-Rabbit IgG light chain (HRP)(AB99697)

Mouse monoclonal [SB62a] Anti-Rabbit IgG light chain (HRP)(AB99697)

Mouse monoclonal [SB62a] Anti-Rabbit IgG light chain (HRP)(AB99697)

Mouse monoclonal [SB62a] Anti-Rabbit IgG light chain (HRP)(AB99697)

Suitable for ELISA, IHC-P, WB. Ideal for western blot. Cited in 81 publications.
Specifications
Shipped At Conditions Blue Ice
Appropriate Long term Storage Conditions Store at +4°C.
Clonality Monoclonal
Applications ELISA, IHC-P, WB
Isotype IgG2b
Conjugation HRP
CAS Number Light chain