JavaScript is disabled in your browser. Please enable JavaScript to view this website.

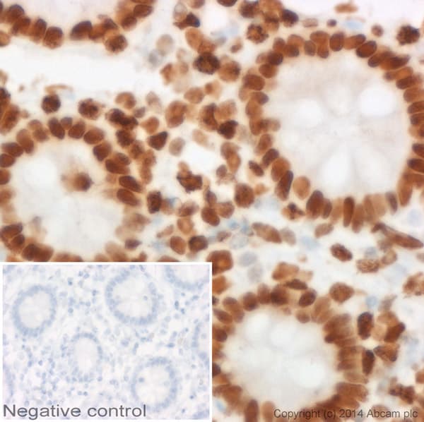
Goat Anti-Mouse IgG1 (HRP) preadsorbed(ab98693)

$undefined

Goat Anti-Mouse IgG1 (HRP) preadsorbed(ab98693)

Suitable for ICC, IHC-P, WB, ELISA. Ideal for western blot. Preadsorbed to minimise non-specific binding and high background staining. Cited in 19 publications.
Specifications
Shipped At Conditions Blue Ice
Appropriate Long term Storage Conditions Store at +4°C.
Clonality Polyclonal
Applications ELISA, ICC, IHC-P, WB
Isotype IgG
Conjugation HRP