JavaScript is disabled in your browser. Please enable JavaScript to view this website.

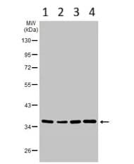
Anti-SUCLG1 antibody(ab97867)

$undefined

Anti-SUCLG1 antibody(ab97867)

Anti-SUCLG1 antibody(ab97867)

Anti-SUCLG1 antibody(ab97867)

Rabbit Polyclonal SUCLG1 antibody. Suitable for WB, ICC/IF and reacts with Human samples. Cited in 4 publications. Immunogen corresponding to Recombinant Fragment Protein within Human SUCLG1 aa 1 to C-terminus.
Specifications
Shipped At Conditions Blue Ice
Appropriate Long term Storage Conditions Store at -20°C.
Clonality Polyclonal
Applications ICC/IF, WB
Species Reactivity Human
Isotype IgG