JavaScript is disabled in your browser. Please enable JavaScript to view this website.

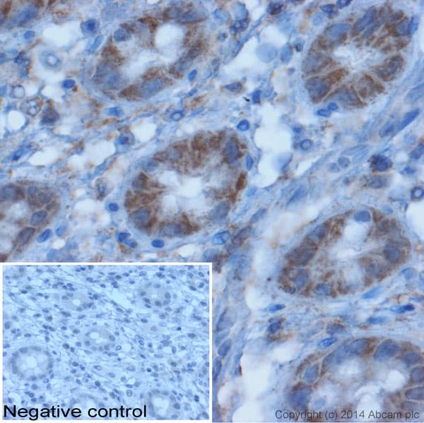
Donkey Anti-Goat IgG H&L (HRP)(AB97110)

$undefined

Donkey Anti-Goat IgG H&L (HRP)(AB97110)

Donkey Anti-Goat IgG H&L (HRP)(AB97110)

Suitable for IHC-P, ELISA, ICC, WB. Ideal for western blot. Cited in 92 publications.
Specifications
Shipped At Conditions Blue Ice
Appropriate Long term Storage Conditions Store at +4°C.
Clonality Polyclonal
Applications ELISA, ICC, IHC-P, WB
Species Reactivity ELISA, ICC, IHC-P, WB
Isotype IgG
Conjugation HRP
CAS Number Heavy & Light chains