JavaScript is disabled in your browser. Please enable JavaScript to view this website.

Goat Anti-Mouse IgG H&L (HRP)(AB97023)

$undefined

Goat Anti-Mouse IgG H&L (HRP)(AB97023)

Goat Anti-Mouse IgG H&L (HRP)(AB97023)

Goat Anti-Mouse IgG H&L (HRP)(AB97023)

Goat Anti-Mouse IgG H&L (HRP)(AB97023)

Goat Anti-Mouse IgG H&L (HRP)(AB97023)

Goat Anti-Mouse IgG H&L (HRP)(AB97023)

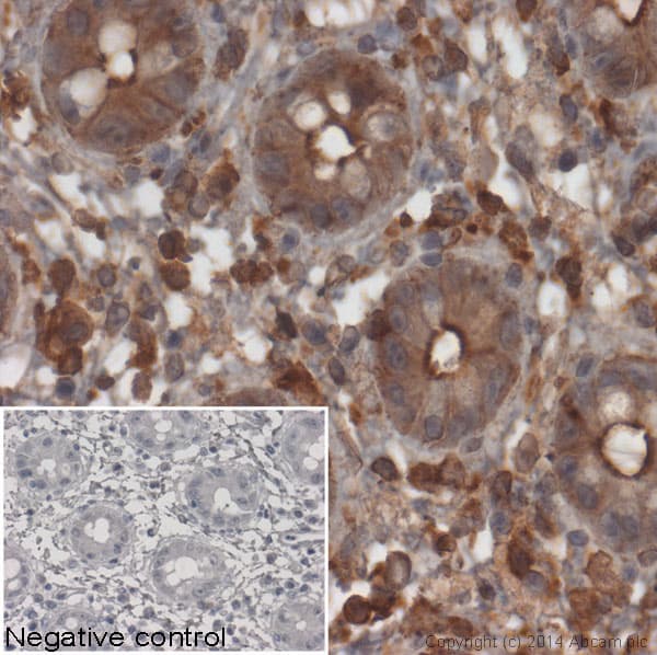
Suitable for ICC, IHC-P, ELISA, WB. Ideal for western blot. Cited in 367 publications.
Specifications
Shipped At Conditions Blue Ice
Appropriate Long term Storage Conditions Store at +4°C.
Clonality Polyclonal
Applications ELISA, ICC, IHC-P, WB
Species Reactivity ELISA, ICC, IHC-P, WB
Isotype IgG
Conjugation HRP
CAS Number Heavy & Light chains