Western blot - Anti-GAPDH antibody - Loading Control (ab9485)
This blot was produced using a 4-12% Bis-tris gel under the MOPS buffer system. The gel was run at 200V for 50 minutes before being transferred onto a Nitrocellulose membrane at 30V for 70 minutes. The membrane was then blocked for an hour using Licor blocking buffer before being incubated with ab9485 overnight at 4°C. Antibody binding was detected using Goat Anti-Rabbit IgG H&L (Alexa Fluor® 790) (ab175781) secondary antibody at a 1:10,000 dilution for 1hr at room temperature and then imaged using the Licor Odyssey CLx.
All lanes: Western blot - Anti-GAPDH antibody - Loading Control (ab9485) at 1/2500 dilution
Lane 1: HeLa (Human epithelial carcinoma cell line) Whole Cell Lysate at 20 µg
Lane 2: A431 (Human epithelial carcinoma cell line) Whole Cell Lysate at 20 µg
Lane 3: A549 (Human lung adenocarcinoma epithelial cell line) Whole Cell Lysate at 20 µg
Secondary
All lanes: Goat Anti-Rabbit IgG H&L (Alexa Fluor® 790) (ab175781) secondary antibody at 1/10000 dilution
Predicted band size: 36 kDa
Observed band size: 37 kDa

Western blot - Anti-GAPDH antibody - Loading Control (ab9485)
HEK293 cells stably transfected with pINDUCER10-shNF90/NF110 (D2) or pINDUCER10-shNF45 (D5) were treated without or with doxycycline for 96 h, then serum starved for 12 h and treated with PMA (20 ng/mL) for 2 h. Protein lysates (20 μg/lane) were separated by SDS-PAGE and transferred to PVDF membranes.
Loading control: Rabbit polyclonal to GAPDH (ab9485) at 1/1000 dilution.
Secondary antibodies (HRP) were used at 1/10,000 dilution.
All lanes: Western blot - Anti-GAPDH antibody - Loading Control (ab9485)
Predicted band size: 36 kDa
Observed band size: 37 kDa
Image from Wu T et al., PLoS One, 14(4), Fig 3.; doi: 10.1371/journal.pone.0216042. Reproduced under the Creative Commons license http://creativecommons.org/licenses/by/4.0/.

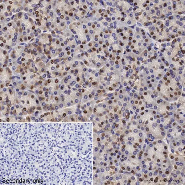
Immunohistochemistry (Formalin/PFA-fixed paraffin-embedded sections) - Anti-GAPDH antibody - Loading Control (ab9485)
IHC image of ab9485 staining GAPDH in human pancreas formalin fixed paraffin embedded tissue sections*, performed on a Leica Bond. The section was pre-treated using heat mediated antigen retrieval with sodium citrate buffer (pH6, epitope retrieval solution 1) for 20 mins. The section was then incubated with ab9485, 5μg/ml working concentration, for 15 mins at room temperature and detected using an HRP conjugated compact polymer system. DAB was used as the chromogen. The section was then counterstained with haematoxylin and mounted with DPX. No primary antibody was used in the secondary only control (shown on the inset).
For other IHC staining systems (automated and non-automated) customers should optimize variable parameters such as antigen retrieval conditions, primary antibody concentration and antibody incubation times.
*Tissue obtained from the Human Research Tissue Bank, supported by the NIHR Cambridge Biomedical Research Centre

Western blot - Anti-GAPDH antibody - Loading Control (ab9485)
Western blot image using 4-20% Optiblot gel with the Prism Ultra Protein Ladder (ab116028) 5μl used. We recommend using our ECL substrate kit (ab65623).
20ug of Lysate per lane and detection using ab9485 diluted to 1ug/ml.
Lane 1: HeLa cell lysate
Lane 2: Jurkat cell lysate
Lane 3: A431 cell lysate
Lane 4: HEK-293 cell lysate
Lane 5: HepG2 cell lysate.
All lanes: Western blot - Anti-GAPDH antibody - Loading Control (ab9485) at 1 µg/mL
Lane 1: HeLa cell lysate at 20 µg
Lane 2: Jurkat cell lysate at 20 µg
Lane 3: A431 cell lysate at 20 µg
Lane 4: HEK-293 cell lysate at 20 µg
Lane 5: HepG2 cell lysate at 20 µg
Predicted band size: 36 kDa

Immunocytochemistry/ Immunofluorescence - Anti-GAPDH antibody - Loading Control (ab9485)
ab9485 staining GAPDH in HeLa cells. The cells were fixed with 100% methanol (5min) and then blocked in 1% BSA/10% normal goat serum/0.3M glycine in 0.1%PBS-Tween for 1h. The cells were then incubated with ab9485 at 5μg/ml and ab7291 at 1μg/ml overnight at +4°C, followed by a further incubation at room temperature for 1h with Goat Anti-Rabbit IgG H&L (Alexa Fluor® 488) preadsorbed (ab150081) secondary antibody at 2 μg/ml (shown in green) and Goat Anti-Mouse IgG H&L (Alexa Fluor® 594) preadsorbed (ab150120) secondary antibody at 2 μg/ml (shown in pseudo color red). Nuclear DNA was labelled in blue with DAPI.
Negative controls: 1– Rabbit primary antibody and anti-mouse secondary antibody; 2 – Mouse primary antibody and anti-rabbit secondary antibody. Controls 1 and 2 indicate that there is no unspecific reaction between primary and secondary antibodies used.

Immunocytochemistry/ Immunofluorescence - Anti-GAPDH antibody - Loading Control (ab9485)
ab9485 staining GAPDH in NIH3T3 cells. The cells were fixed with 4% formaldehyde (10min), permeabilized with 0.1% Triton X-100 for 5 minutes and then blocked in 1% BSA/10% normal goat serum/0.3M glycine in 0.1%PBS-Tween for 1h. The cells were then incubated with ab9485 at 5μg/ml and ab195889 at 1/250 overnight at +4°C, followed by a further incubation at room temperature for 1h with Goat Anti-Rabbit IgG H&L (Alexa Fluor® 488) preadsorbed (ab150081) secondary antibody at 2 μg/ml (shown in green). Nuclear DNA was labelled in blue with DAPI. Image was taken with a confocal microscope (Leica-Microsystems, TCS SP8).
