JavaScript is disabled in your browser. Please enable JavaScript to view this website.

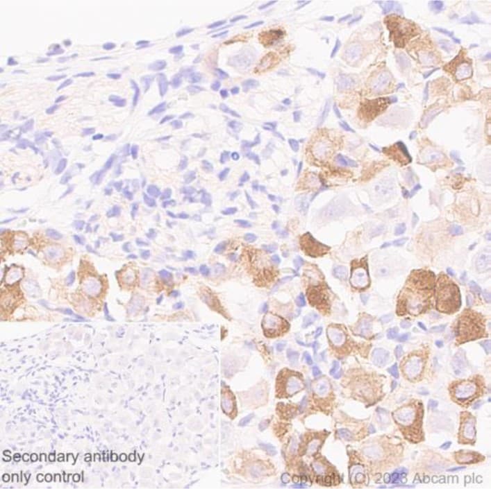
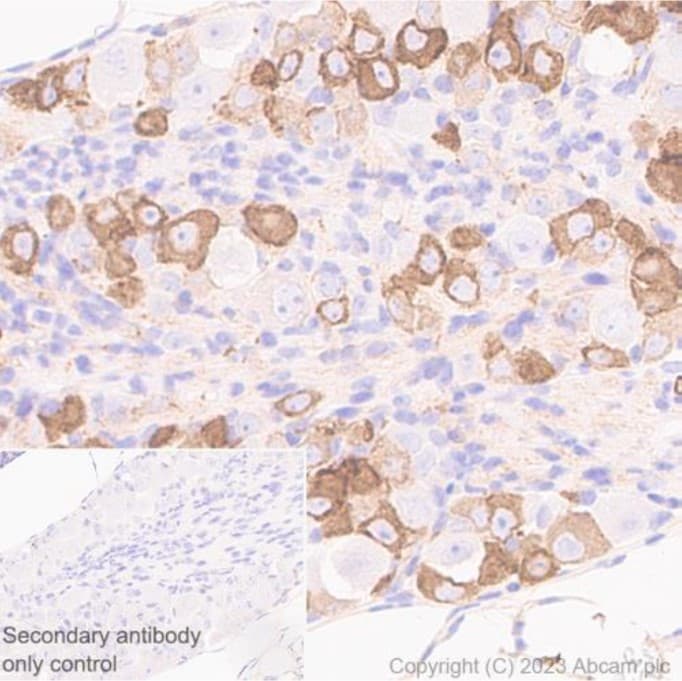
Anti-Nav1.8/SCN10A antibody [S134](AB93616)

$undefined

Anti-Nav1.8/SCN10A antibody [S134](AB93616)

Anti-Nav1.8/SCN10A antibody [S134](AB93616)

Mouse Recombinant Monoclonal Nav1.8/SCN10A antibody. Suitable for IHC-P, IHC-Fr and reacts with Mouse, Rat samples. Cited in 8 publications. Immunogen corresponding to Recombinant Fragment Protein within Rat Scn10a aa 1700 to C-terminus.
Specifications
Shipped At Conditions Blue Ice
Appropriate Long term Storage Conditions Store at -20°C.
Clonality Monoclonal
Applications Human, Monkey, Mouse, Rat
Species Reactivity Flow Cyt, ICC, ICC/IF, IHC-Fr, IHC-P, WB
Isotype IgG2a