JavaScript is disabled in your browser. Please enable JavaScript to view this website.

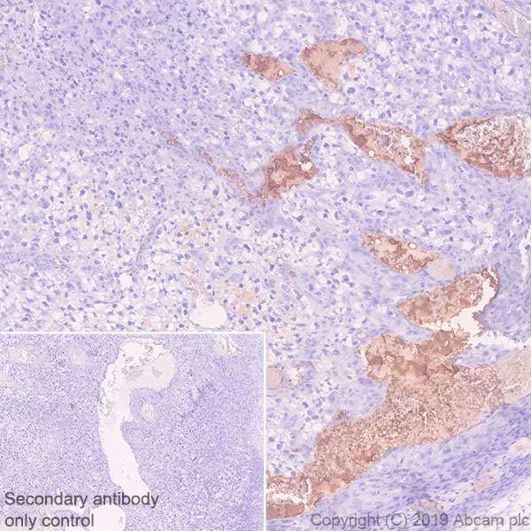
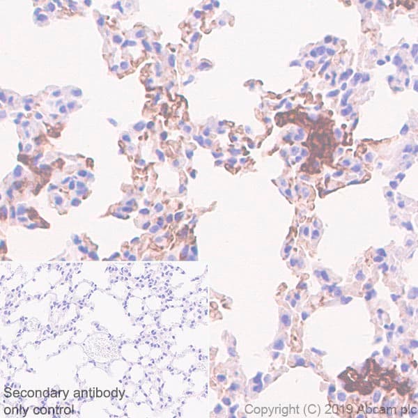
Anti-Fibrinogen alpha chain antibody [EPR2919](AB92572)

$undefined

Anti-Fibrinogen alpha chain antibody [EPR2919](AB92572)

Anti-Fibrinogen alpha chain antibody [EPR2919](AB92572)

Anti-Fibrinogen alpha chain antibody [EPR2919](AB92572)

Anti-Fibrinogen alpha chain antibody [EPR2919](AB92572)

Anti-Fibrinogen alpha chain antibody [EPR2919](AB92572)

Anti-Fibrinogen alpha chain antibody [EPR2919](AB92572)

Anti-Fibrinogen alpha chain antibody [EPR2919](AB92572)

Anti-Fibrinogen alpha chain antibody [EPR2919](AB92572)

Anti-Fibrinogen alpha chain antibody [EPR2919](AB92572)

Anti-Fibrinogen alpha chain antibody [EPR2919](AB92572)

Rabbit Recombinant Monoclonal Fibrinogen alpha chain antibody. Suitable for ICC/IF, IP, WB, Flow Cyt (Intra), IHC-P and reacts with Human, Mouse, Rat samples. Cited in 16 publications.
Specifications
Shipped At Conditions Blue Ice
Appropriate Long term Storage Conditions Store at -20°C.
Clonality Monoclonal
Applications Human, Mouse, Rat
Species Reactivity Flow Cyt (Intra), ICC/IF, IHC-P, IP, WB
Isotype IgG