JavaScript is disabled in your browser. Please enable JavaScript to view this website.

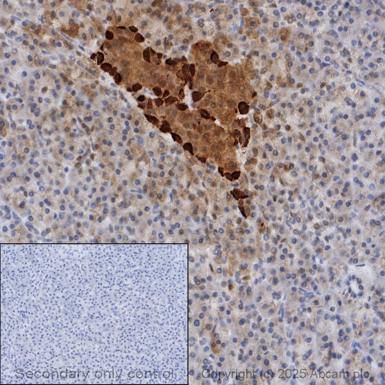
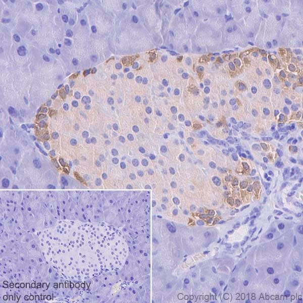
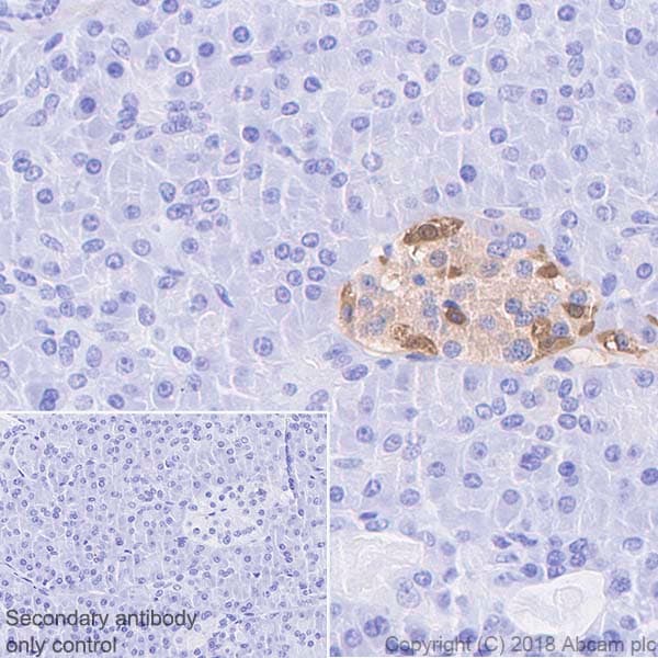
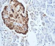
Anti-Glucagon antibody [EP3070](AB92517)

$undefined

Anti-Glucagon antibody [EP3070](AB92517)

Anti-Glucagon antibody [EP3070](AB92517)

Anti-Glucagon antibody [EP3070](AB92517)

Anti-Glucagon antibody [EP3070](AB92517)

Anti-Glucagon antibody [EP3070](AB92517)

Anti-Glucagon antibody [EP3070](AB92517)

Anti-Glucagon antibody [EP3070](AB92517)

Anti-Glucagon antibody [EP3070](AB92517)

Anti-Glucagon antibody [EP3070] ab92517 is a rabbit monoclonal antibody that is used in Glucagon western blotting and IHC. Suitable for human, mouse and rat samples.

- Recombinant format for unrivaled batch-batch consistency: no need for same-lot requests
- Specificity and sensitivity confirmed in IHC with multi-tissue microarray (TMA) validation
Specifications
Shipped At Conditions Blue Ice
Appropriate Long term Storage Conditions Store at -20°C.
Clonality Monoclonal
Applications Human, Mouse, Rat
Species Reactivity IHC-P, WB
Isotype IgG