Immunohistochemistry (Formalin/PFA-fixed paraffin-embedded sections) - Anti-ERG antibody [EPR3864] (ab92513)
ERG and GSTP1 immunostainings of human prostate cancer samples using ab92513.
Representative immunohistochemical images of prostate cancer samples are shown that were positive for ERG and negative for GSTP1 (A), positive for both ERG and GSTP1 (B), negative for both ERG and GSTP1(C), and negative for ERG and positive for GSTP1 (D). The internal staining control for ERG is the endothelium (arrows) and for GSTP1 the stromal and/or basal cells of normal prostate glands. N, normal prostate gland; S, Stroma; T, tumor gland. Scale bars equal 100μm
Image from Litovkin K et al. PLoS One. 2015;10(6):e0130651. Fig 5.; doi: 10.1371/journal.pone.0130651.

Immunocytochemistry/ Immunofluorescence - Anti-ERG antibody [EPR3864] (ab92513)
Functional characterization and detection of genetic alterations in GEDI-captured cells. The TMPRSS2:ERG fusion protein is detected in GEDI-captured circulating tumor cells (CTCs) from a castrate-resistant prostate cancer (CRPC) patient. PSMA-captured CTCs were stained on the device with ab92513. Representative examples of PSMA+/CD45− CTCs are shown, two of which are positive for ERG. Scale bars: 10 microns.
Image from Kirby BJ et al. PLoS One. 2012;8(12):e83903. Fig 4.; doi: 10.1371/journal.pone.0035976.
![Immunofluorescence with anti-ERG antibody [EPR3864] for detecting genetic alterations in GEDI-captured cells.](./media_160f5c65ca130e4e2505d620346d558ff6bef2d98.avif?width=750&format=avif&optimize=medium)
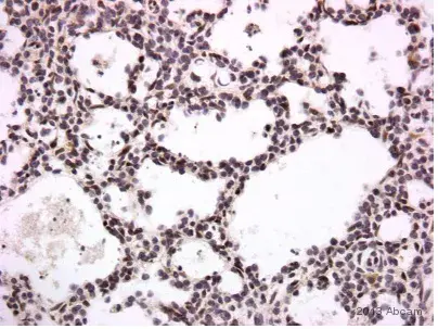
Immunohistochemistry (Formalin/PFA-fixed paraffin-embedded sections) - Anti-ERG antibody [EPR3864] (ab92513)
Formalin-fixed, paraffin-embedded mouse brain tissue stained for ERG using ab92513 at 1/200 dilution in immunohistochemical analysis. A horse radish peroxidase antibody was used as the secondary antibody.
Antigen Retrieval: 40x; Proteinase K antigen retrieval - 15 min at 37 C

Western blot - Anti-ERG antibody [EPR3864] (ab92513)
Blocking buffer: 5% NFDM/TBST
Dilution buffer: 5% NFDM/TBST
All lanes: purified
Lane 1: rat brain lysate at 20 µg
Lane 2: rat heart lysate at 20 µg
Lane 3: RAW 264.7 (mouse macrophage cell line transformed with Abelson murine leukemia virus) cell lysate at 20 µg
Secondary
All lanes: HRP goat anti-rabbit IgG (H+L) at 1/1000 dilution
Predicted band size: 54 kDa
Observed band size: 55 kDa
![Western blot - Anti-ERG antibody [EPR3864] (ab92513) Lane 1: rat brain lysate at 20 µg Lane 2: rat heart lysate at 20 µg Lane 3: RAW 264.7 (mouse macrophage cell line transformed with Abelson murine leukemia virus) cell lysate at 20 µg](./media_11979af72d88fd99518d1478f655fee1742718015.avif?width=750&format=avif&optimize=medium)
Western blot - Anti-ERG antibody [EPR3864] (ab92513)
Blocking buffer: 5% NFDM/TBST
Dilution buffer: 5% NFDM/TBST
All lanes: Western blot - Anti-ERG antibody [EPR3864] (ab92513) at 1/2000 dilution
Lane 1: Jurkat (human T cell leukemia cell line from peripheral blood) cell lysate at 20 µg
Lane 2: HeLa (human epithelial cell line from cervix adenocarcinoma) cell lysate at 20 µg
Secondary
All lanes: HRP goat anti-rabbit IgG (H+L) at 1/1000 dilution
Predicted band size: 54 kDa
Observed band size: 55 kDa
![Anti-ERG antibody [EPR3864] (ab92513) at 1/2000 dilution Lane 1 - Jurkat cell lysate Lane 2 - HeLa cell lysate](./media_1dd150d7b35db23e992d584d359f5ea23467242e4.avif?width=750&format=avif&optimize=medium)
Western blot - Anti-ERG antibody [EPR3864] (ab92513)
All lanes: Western blot - Anti-ERG antibody [EPR3864] (ab92513) at 1/1000 dilution
All lanes: Jurkat (human T cell leukemia cell line from peripheral blood) cell lysate at 10 µg
Secondary
All lanes: HRP labelled Goat anti-Rabbit at 1/2000 dilution
Predicted band size: 54 kDa
![Western blot - Anti-ERG antibody [EPR3864] (ab92513) at 1/1000 dilution](./media_127b0ead8122142702be0e9212eae37588131aff6.avif?width=750&format=avif&optimize=medium)