JavaScript is disabled in your browser. Please enable JavaScript to view this website.

Anti-Prosurfactant Protein C antibody(ab90716)

$undefined

Anti-Prosurfactant Protein C antibody(ab90716)

Anti-Prosurfactant Protein C antibody(ab90716)

Anti-Prosurfactant Protein C antibody(ab90716)

Anti-Prosurfactant Protein C antibody(ab90716)

Anti-Prosurfactant Protein C antibody(ab90716)

Anti-Prosurfactant Protein C antibody(ab90716)

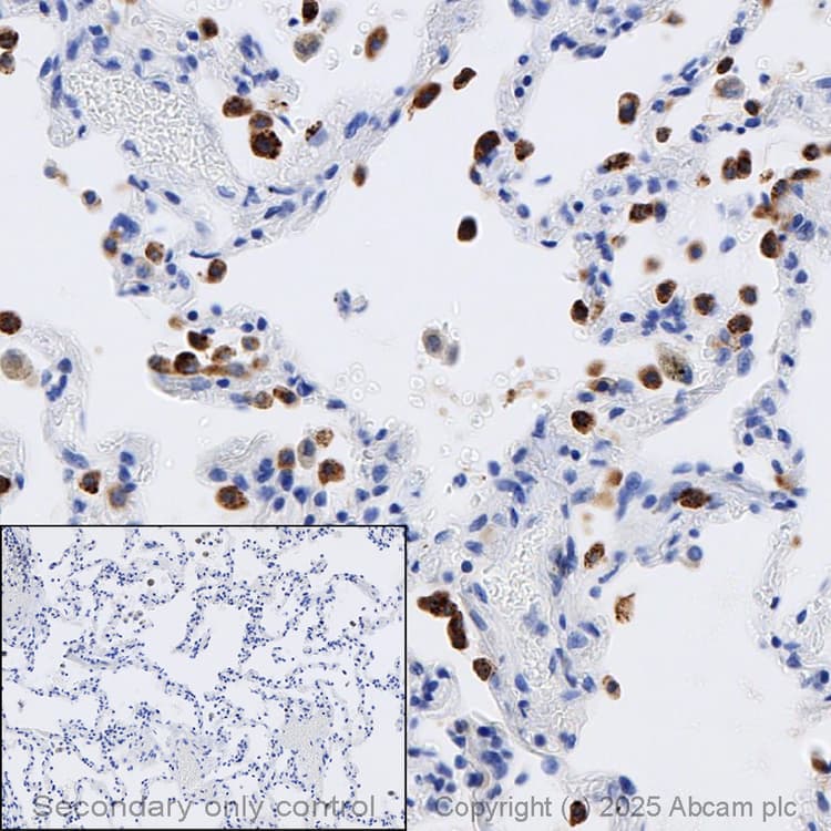
Anti-Prosurfactant Protein C antibody ab90716 is a rabbit polyclonal antibody that is used in Prosurfactant Protein C western blotting, IHC and immunofluorescence. Suitable for human and mouse samples.
Specifications
Shipped At Conditions Blue Ice
Appropriate Long term Storage Conditions Store at -20°C.
Clonality Polyclonal
Applications ICC/IF, IHC-P, IP, WB
Species Reactivity Human, Mouse
Isotype IgG