JavaScript is disabled in your browser. Please enable JavaScript to view this website.

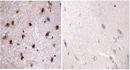
Anti-GFAP antibody(ab90601)

$undefined

Anti-GFAP antibody(ab90601)

Anti-GFAP antibody(ab90601)

Anti-GFAP antibody(ab90601)

Anti-GFAP antibody(ab90601)

Anti-GFAP antibody(ab90601)

Sheep Polyclonal GFAP antibody. Suitable for WB, IHC-P, ICC/IF and reacts with Human, Rat samples. Cited in 7 publications. Immunogen corresponding to Synthetic Peptide within Human GFAP aa 100-150 conjugated to Keyhole Limpet Haemocyanin.
Specifications
Shipped At Conditions Blue Ice
Appropriate Long term Storage Conditions Store at -20°C.
Clonality Polyclonal
Applications ICC/IF, IHC-P, WB
Species Reactivity Human, Rat
Isotype IgG