JavaScript is disabled in your browser. Please enable JavaScript to view this website.

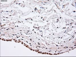
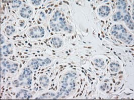
Anti-alpha Actinin/ACTN1 antibody [OTI7A4](ab90421)

$undefined

Anti-alpha Actinin/ACTN1 antibody [OTI7A4](ab90421)

Anti-alpha Actinin/ACTN1 antibody [OTI7A4](ab90421)

Anti-alpha Actinin/ACTN1 antibody [OTI7A4](ab90421)

Anti-alpha Actinin/ACTN1 antibody [OTI7A4](ab90421)

Anti-alpha Actinin/ACTN1 antibody [OTI7A4](ab90421)

Anti-alpha Actinin/ACTN1 antibody [OTI7A4](ab90421)

Anti-alpha Actinin/ACTN1 antibody [OTI7A4](ab90421)

Anti-alpha Actinin/ACTN1 antibody [OTI7A4](ab90421)

Anti-alpha Actinin/ACTN1 antibody [OTI7A4](ab90421)

Mouse Monoclonal alpha Actinin/ACTN1 antibody. Suitable for IHC-P, WB, ICC/IF and reacts with Human, Mouse, Rat, African green monkey samples. Cited in 1 publication. Immunogen corresponding to Recombinant Fragment Protein within Human ACTN1 aa 650 to C-terminus.
Specifications
Shipped At Conditions Blue Ice
Appropriate Long term Storage Conditions Store at -20°C.
Clonality Monoclonal
Applications ICC/IF, IHC-P, WB
Species Reactivity African green monkey, Human, Mouse, Rat
Isotype IgG2a