JavaScript is disabled in your browser. Please enable JavaScript to view this website.

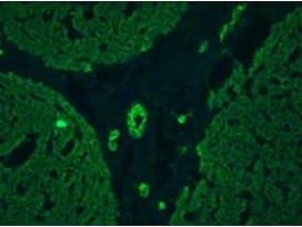
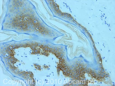
Anti-Cytokeratin 5 + 8 antibody [RCK102](ab9005)

$undefined

Anti-Cytokeratin 5 + 8 antibody [RCK102](ab9005)

Anti-Cytokeratin 5 + 8 antibody [RCK102](ab9005)

Anti-Cytokeratin 5 + 8 antibody [RCK102](ab9005)

Anti-Cytokeratin 5 + 8 antibody [RCK102](ab9005)

Anti-Cytokeratin 5 + 8 antibody [RCK102](ab9005)

Mouse Monoclonal Cytokeratin 5 antibody. Suitable for IHC-P, Flow Cyt, IHC-Fr and reacts with Human samples. Cited in 14 publications.
Specifications
Shipped At Conditions Blue Ice
Appropriate Long term Storage Conditions Store at -20°C.
Clonality Monoclonal
Applications Flow Cyt, IHC-Fr, IHC-P
Species Reactivity Human
Isotype IgG1