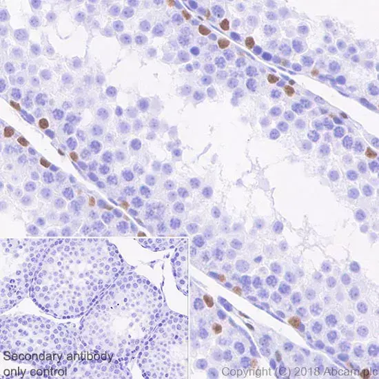
Immunohistochemistry (Formalin/PFA-fixed paraffin-embedded sections) - Anti-Wilms Tumor Protein antibody [CAN-R9(IHC)-56-2] (ab89901)
ab89901 staining Wilms Tumor Protein in paraffin-embedded mouse testis tissue sections by Immunohistochemistry.
Antigen retrieval was by heat mediation using citrate buffer (pH 6.0). Samples were incubated with primary antibody at 1:500 dilution (0.49 μg/ml). A ready to use Goat Anti-Rabbit IgG H&L (HRP) was used as the secondary antibody. Nuclear staining on Sertoli cells in mouse testis (PMID: 21863216) is observed.

Immunohistochemistry (Formalin/PFA-fixed paraffin-embedded sections) - Anti-Wilms Tumor Protein antibody [CAN-R9(IHC)-56-2] (ab89901)
Spermatogenic phenotypes of Rnf8;Scml2-dKO mice.
Immunostaining of testicular sections with WT1 (ab89901), a marker of Sertoli cells, and PLZF, a marker of undifferentiated spermatogonia.
For preparation of testicular paraffin blocks, testes of mutants and littermate controls were fixed with 4% paraformaldehyde at 4°C overnight. Testes were then dehydrated and embedded in paraffin. For histological analyses, 6 μm-thick paraffin sections were deparaffinized and autoclaved in Target Retrieval Solution at 121°C for 20 min. The sections were blocked with for 10 min at room temperature, and then incubated with primary antibodies at 4°C overnight.
Adams et al PLoS Genet. 2018 Feb 20;14(2):e1007233. doi: 10.1371/journal.pgen.1007233. eCollection 2018 Feb. Fig S1. Reproduced under the Creative Commons license http://creativecommons.org/licenses/by/4.0/
![Immunohistochemistry (Formalin/PFA-fixed paraffin-embedded sections) - Anti-Wilms Tumor Protein antibody [CAN-R9(IHC)-56-2] (ab89901). Spermatogenic phenotypes of Rnf8;Scml2-dKO mice.](./media_1c113400a288b6aeece3a8ba61458fc55a917d622.avif?width=750&format=avif&optimize=medium)
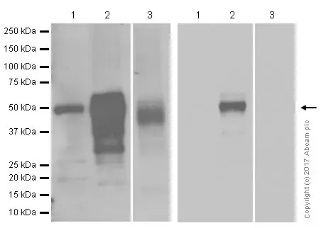
Western blot - Anti-Wilms Tumor Protein antibody [CAN-R9(IHC)-56-2] (ab89901)
Exposure time: Left image: 3 minutes
Right image: 15 seconds
This antibody shows low affinity in mouse sample.
Blocking and diluting buffer: 5% NFDM/TBST
All lanes:
Western blot - Anti-Wilms Tumor Protein antibody [CAN-R9(IHC)-56-2] (ab89901) at 1/500 dilution
Lane 1:
Human testis whole cell lysate. at 15 µg
Lane 2:
K562 (Human T cell leukemia T lymphocyte) whole cell lysates at 4 µg
Lane 3:
Mouse testis whole cell lysates at 15 µg
Secondary
All lanes:
Western blot - Goat Anti-Rabbit IgG H&L (HRP) (ab97051) at 1/20000 dilution
Predicted band size: 49 kDa
Observed band size: 55 kDa
![Western blot - Anti-Wilms Tumor Protein antibody [CAN-R9(IHC)-56-2] (ab89901) at 1/500 dilution Lane 1: Human testis whole cell lysate. at 15 µg Lane 2: K562 (Human T cell leukemia T lymphocyte) whole cell lysates at 4 µg Lane 3: Mouse testis whole cell lysates at 15 µg](./media_18a596ae6527128b85a9f856a2fc39d4084bc9d73.avif?width=750&format=avif&optimize=medium)
Flow Cytometry (Intracellular) - Anti-Wilms Tumor Protein antibody [CAN-R9(IHC)-56-2] (ab89901)
Intracellular Flow Cytometry analysis of K-562 (Human chronic myelogenous leukemia lymphoblast) cells labeling Wilms Tumor Protein with ab89901 at 1/200 dilution (0.1 μg)/ Red.
Cells were fixed with 4% paraformaldehyde and permeabilized with 90% methanol. A Goat anti rabbit IgG (Alexa Fluorr® 488, ab150077) at 1/2000 dilution was used as the secondary antibody. Rabbit monoclonal IgG (ab172730) / Black was used as the isotype control. Cells without incubation with primary antibody and secondary antibody / Blue was used as the unlabeled control.

Immunohistochemistry (Formalin/PFA-fixed paraffin-embedded sections) - Anti-Wilms Tumor Protein antibody [CAN-R9(IHC)-56-2] (ab89901)
Podocyte counting using WT1 staining.
Mouse kidney sections were stained with WT1 antibody ab89901 using immunohistochemistry. (A) Each glomeruli was identified and numbered using ImagePro premier imaging software. (B) A tracing was applied along the Bowman's capsule to assess the surface area of the glomerulus. (C) Each WT1 positive nucleus was identified and the nuclear size assessed.
Verma et al PLoS One. 2018 Jun 20;13(6):e0198013. doi: 10.1371/journal.pone.0198013. eCollection 2018. Fig S1. Reproduced under the Creative Commons license https://creativecommons.org/publicdomain/zero/1.0/

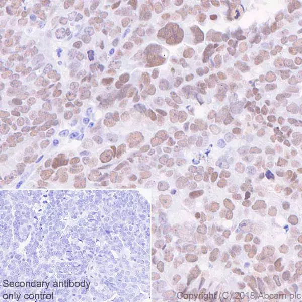
Immunohistochemistry (Formalin/PFA-fixed paraffin-embedded sections) - Anti-Wilms Tumor Protein antibody [CAN-R9(IHC)-56-2] (ab89901)
ab89901 staining Wilms Tumor Protein in paraffin-embedded human ovarian serous adenocarcinoma tissue sections by Immunohistochemistry.
Antigen retrieval was by heat mediation using citrate buffer (pH 6.0) was performed. Samples were incubated with primary antibody at 1:500 dilution (0.49 μg/ml). A ready to use Goat Anti-Rabbit IgG H&L (HRP) was used as the secondary antibody. Nuclear staining on human ovarian serous adenocarcinoma (PMID: 11939727) is observed.

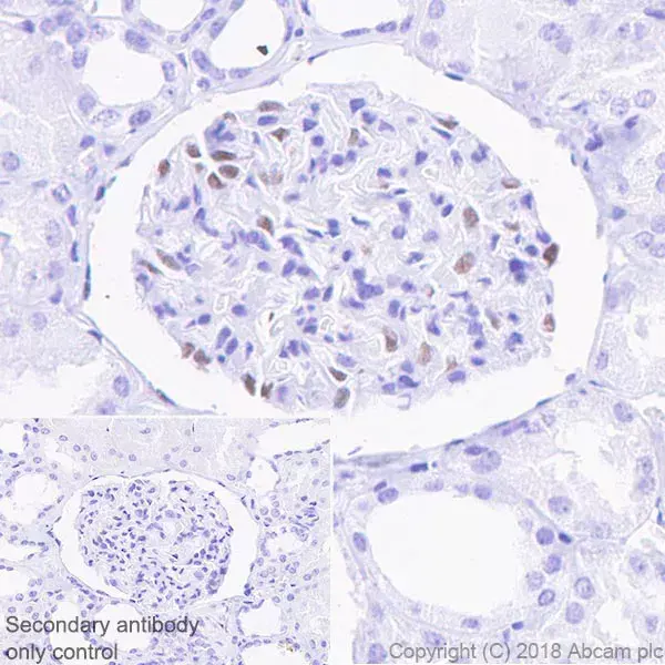
Immunohistochemistry (Formalin/PFA-fixed paraffin-embedded sections) - Anti-Wilms Tumor Protein antibody [CAN-R9(IHC)-56-2] (ab89901)
ab89901 staining Wilms Tumor Protein in paraffin-embedded human kidney tissue sections by Immunohistochemistry.
Antigen retrieval was by heat mediation using citrate buffer (pH 6.0). Samples were incubated with primary antibody at 1:500 dilution (0.49 μg/ml). A ready to use Goat Anti-Rabbit IgG H&L (HRP) was used as the secondary antibody. Nuclear staining on human kidney glomerulus (PMID: 12898605) is observed.
