JavaScript is disabled in your browser. Please enable JavaScript to view this website.

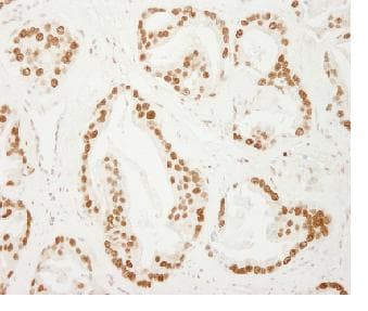
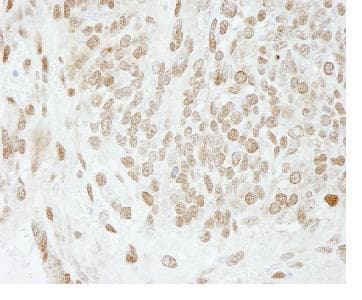
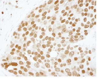
Anti-PC4 antibody(ab84459)

$undefined

Anti-PC4 antibody(ab84459)

Anti-PC4 antibody(ab84459)

Anti-PC4 antibody(ab84459)

Rabbit Polyclonal PC4 antibody. Suitable for IHC-P and reacts with Mouse, Human samples. Cited in 4 publications. Immunogen corresponding to Synthetic Peptide within Human SUB1.
Specifications
Shipped At Conditions Blue Ice
Appropriate Long term Storage Conditions Store at -20°C.
Clonality Polyclonal
Applications IHC-P
Species Reactivity Human, Mouse
Isotype IgG