JavaScript is disabled in your browser. Please enable JavaScript to view this website.

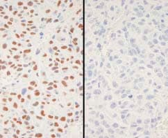
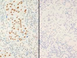
Anti-XRCC1 (phospho S518 + T519 + T523) antibody(ab84417)

$undefined

Anti-XRCC1 (phospho S518 + T519 + T523) antibody(ab84417)

Anti-XRCC1 (phospho S518 + T519 + T523) antibody(ab84417)

Anti-XRCC1 (phospho S518 + T519 + T523) antibody(ab84417)

Rabbit Polyclonal XRCC1 phospho S518 + T519 + T523 antibody. Suitable for IHC-P and reacts with Mouse, Human samples. Cited in 1 publication. Immunogen corresponding to Synthetic Peptide within Human XRCC1 phospho T519 + T523.
Specifications
Shipped At Conditions Blue Ice
Appropriate Long term Storage Conditions Store at -20°C.
Clonality Polyclonal
Applications IHC-P
Species Reactivity Human, Mouse
Isotype IgG