JavaScript is disabled in your browser. Please enable JavaScript to view this website.

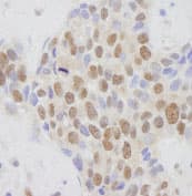
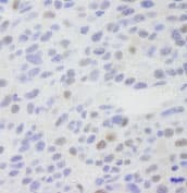
Anti-TRAP220/MED1 antibody(ab84386)

$undefined

Anti-TRAP220/MED1 antibody(ab84386)

Anti-TRAP220/MED1 antibody(ab84386)

Rabbit Polyclonal TRAP220/MED1 antibody. Suitable for IHC-P and reacts with Mouse, Human samples.
Specifications
Shipped At Conditions Blue Ice
Appropriate Long term Storage Conditions Store at -20°C.
Clonality Polyclonal
Applications IHC-P
Species Reactivity Human, Mouse
Isotype IgG