JavaScript is disabled in your browser. Please enable JavaScript to view this website.

Anti-CRM1 antibody(ab84375)

$undefined

Anti-CRM1 antibody(ab84375)

Anti-CRM1 antibody(ab84375)

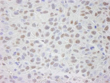
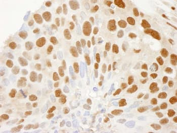
Rabbit Polyclonal CRM1 antibody. Suitable for IHC-P and reacts with Mouse, Human samples. Cited in 1 publication. Immunogen corresponding to Synthetic Peptide within Human Exportin-1 aa 1000 to C-terminus.
Specifications
Shipped At Conditions Blue Ice
Appropriate Long term Storage Conditions Store at -20°C.
Clonality Polyclonal
Applications IHC-P
Species Reactivity Human, Mouse
Isotype IgG