JavaScript is disabled in your browser. Please enable JavaScript to view this website.

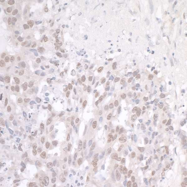
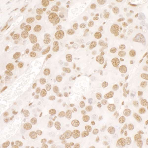
Anti-TLS/FUS antibody(ab84078)

$undefined

Anti-TLS/FUS antibody(ab84078)

Anti-TLS/FUS antibody(ab84078)

Rabbit Polyclonal TLS/FUS antibody. Suitable for IHC-P, WB, ICC/IF and reacts with Mouse, Human samples. Cited in 19 publications. Immunogen corresponding to Synthetic Peptide within Human FUS aa 1-50.
Specifications
Shipped At Conditions Blue Ice
Appropriate Long term Storage Conditions Store at -20°C.
Clonality Polyclonal
Applications ICC/IF, IHC-P, WB
Species Reactivity Human, Mouse
Isotype IgG