JavaScript is disabled in your browser. Please enable JavaScript to view this website.

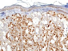
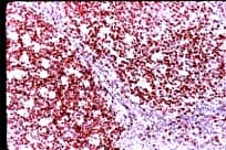
Anti-Ki67 antibody(ab833)

$undefined

Anti-Ki67 antibody(ab833)

Anti-Ki67 antibody(ab833)

Anti-Ki67 antibody(ab833)

Rabbit Polyclonal Ki67 antibody. Suitable for IHC-P and reacts with Human samples. Cited in 196 publications. Immunogen corresponding to Synthetic Peptide within Human MKI67.
Specifications
Shipped At Conditions Blue Ice
Appropriate Long term Storage Conditions Store at -20°C.
Clonality Polyclonal
Applications IHC-P
Species Reactivity Human
Isotype IgG