JavaScript is disabled in your browser. Please enable JavaScript to view this website.

Anti-CD34 antibody [EP373Y](AB81289)

$undefined

Anti-CD34 antibody [EP373Y](AB81289)

Anti-CD34 antibody [EP373Y](AB81289)

Anti-CD34 antibody [EP373Y](AB81289)

Anti-CD34 antibody [EP373Y](AB81289)

Anti-CD34 antibody [EP373Y](AB81289)

Anti-CD34 antibody [EP373Y](AB81289)

Anti-CD34 antibody [EP373Y](AB81289)

Anti-CD34 antibody [EP373Y](AB81289)

Anti-CD34 antibody [EP373Y](AB81289)

Anti-CD34 antibody [EP373Y](AB81289)

Anti-CD34 antibody [EP373Y](AB81289)

Anti-CD34 antibody [EP373Y](AB81289)

Anti-CD34 antibody [EP373Y](AB81289)

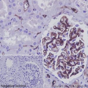
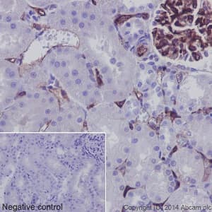
Anti-CD34 antibody [EP373Y] ab81289 is a rabbit monoclonal antibody that is used in CD34 IHC, immunofluorescence and flow cytometry. Suitable for human, mouse and rat samples.

- Recombinant format for unrivaled batch-batch consistency: no need for same-lot requests
- Validated on the Leica BOND™ RX automated IHC staining platform for Rabbit IHC
- Antibody clone EP373Y has been tried and trusted by researchers since 2009 and is cited in >720 publications
Specifications
Shipped At Conditions Blue Ice
Appropriate Long term Storage Conditions Store at -20°C.
Clonality Monoclonal
Applications Human, Mouse, Rat
Species Reactivity Flow Cyt (Intra), ICC/IF, IHC-Fr, IHC-P, IP, WB
Isotype IgG