JavaScript is disabled in your browser. Please enable JavaScript to view this website.

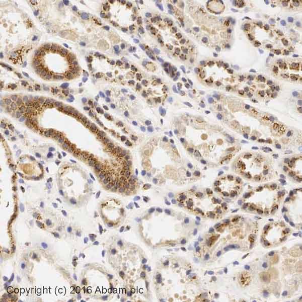
Anti-Giantin antibody - Golgi Marker(AB80864)

$undefined

Anti-Giantin antibody - Golgi Marker(AB80864)

Anti-Giantin antibody - Golgi Marker(AB80864)

Anti-Giantin antibody - Golgi Marker(AB80864)

Anti-Giantin antibody - Golgi Marker(AB80864)

Rabbit Polyclonal Giantin antibody. Golgi marker. Suitable for IHC-P, WB, ICC/IF and reacts with Human samples. Cited in 30 publications.
Specifications
Shipped At Conditions Blue Ice
Appropriate Long term Storage Conditions Store at -20°C.
Clonality Polyclonal
Applications Human
Species Reactivity ICC/IF, IHC-P, WB
Isotype IgG