JavaScript is disabled in your browser. Please enable JavaScript to view this website.

Anti-HLA DR + DP + DQ antibody [CR3/43](ab7856)

$undefined

Anti-HLA DR + DP + DQ antibody [CR3/43](ab7856)

Anti-HLA DR + DP + DQ antibody [CR3/43](ab7856)

Anti-HLA DR + DP + DQ antibody [CR3/43](ab7856)

Anti-HLA DR + DP + DQ antibody [CR3/43](ab7856)

Anti-HLA DR + DP + DQ antibody [CR3/43](ab7856)

Anti-HLA DR + DP + DQ antibody [CR3/43](ab7856)

Anti-HLA DR + DP + DQ antibody [CR3/43](ab7856)

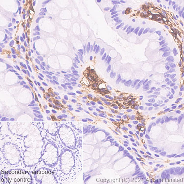
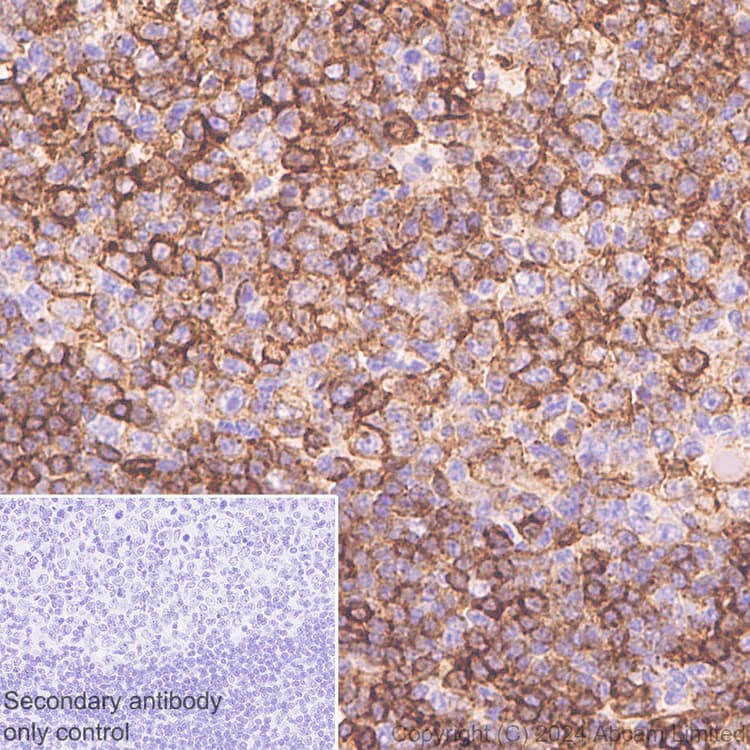
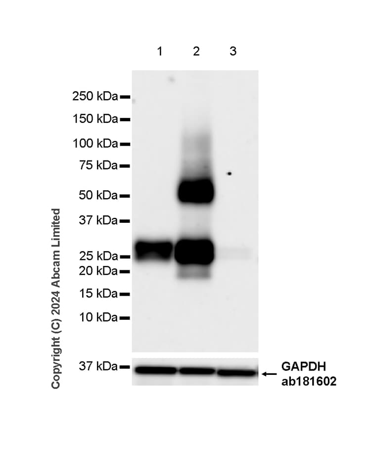
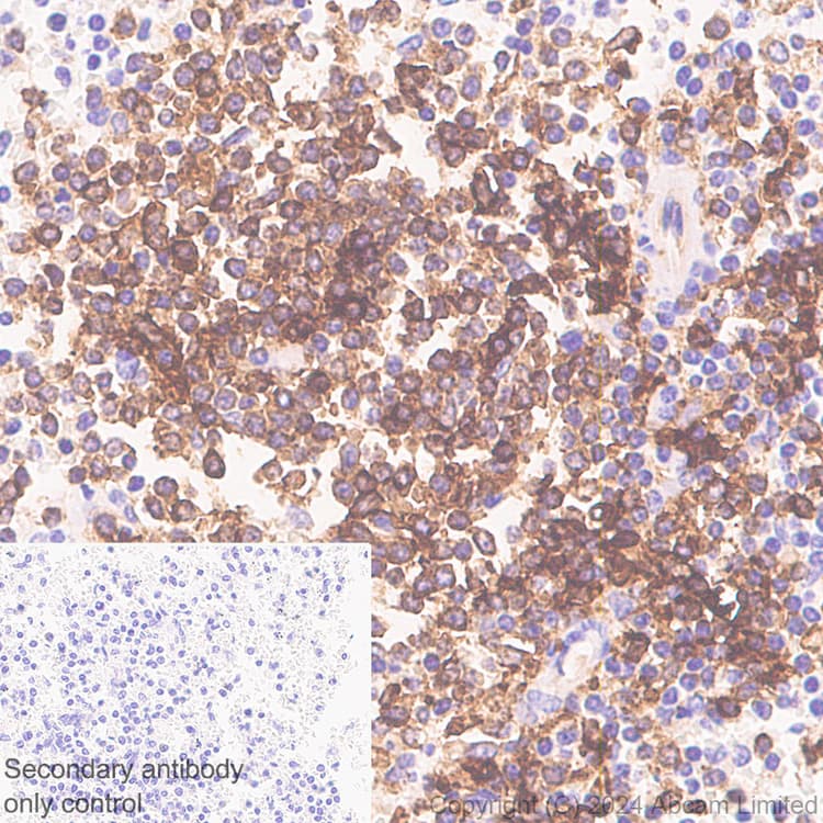
Anti-HLA DR + DP + DQ antibody [CR3/43] ab7856 is a mouse monoclonal antibody that is used in HLA DR + DP + DQ western blotting and IHC. Suitable for human samples.

- Antibody clone CR3/43 is the most widely used clone for HLA DR + DP + DQ on the market and is cited in >240 publications
Same trusted quality, new lower price
Specifications
Shipped At Conditions Blue Ice
Appropriate Long term Storage Conditions Store at -20°C.
Clonality Monoclonal
Applications IHC-P, WB
Species Reactivity Human
Isotype IgG1