JavaScript is disabled in your browser. Please enable JavaScript to view this website.

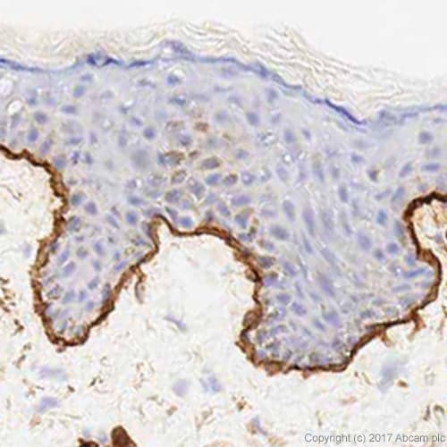
Anti-Laminin 5 antibody [P3H9-2](ab78286)

$undefined

Anti-Laminin 5 antibody [P3H9-2](ab78286)

Anti-Laminin 5 antibody [P3H9-2](ab78286)

Anti-Laminin 5 antibody [P3H9-2](ab78286)

Mouse Monoclonal LAMA3 antibody. Suitable for IHC-Fr and reacts with Human samples. Cited in 19 publications.
Specifications
Shipped At Conditions Blue Ice
Appropriate Long term Storage Conditions Store at +4°C.
Clonality Monoclonal
Applications IHC-Fr
Species Reactivity Human
Isotype IgG1