JavaScript is disabled in your browser. Please enable JavaScript to view this website.

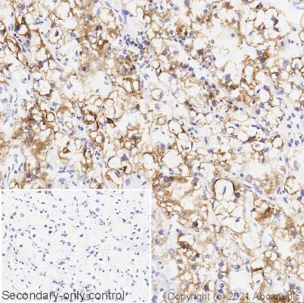
Anti-CD70 antibody [BU69](ab77868)

$undefined

Anti-CD70 antibody [BU69](ab77868)

Anti-CD70 antibody [BU69](ab77868)

Anti-CD70 antibody [BU69](ab77868)

Anti-CD70 antibody [BU69](ab77868)

Anti-CD70 antibody [BU69](ab77868)

Anti-CD70 antibody [BU69](ab77868)

Mouse Monoclonal CD70 antibody. Suitable for Flow Cyt, IHC-Fr and reacts with Human samples. Cited in 7 publications.
Specifications
Shipped At Conditions Blue Ice
Appropriate Long term Storage Conditions Store at -20°C.
Clonality Monoclonal
Applications Flow Cyt, IHC-Fr
Species Reactivity Human
Isotype IgG1