JavaScript is disabled in your browser. Please enable JavaScript to view this website.

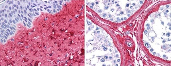
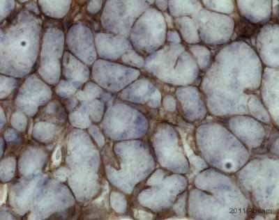
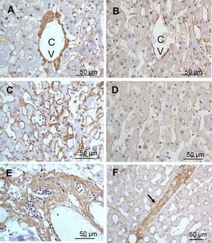
Anti-Collagen III antibody(ab7778)

$undefined

Anti-Collagen III antibody(ab7778)

Anti-Collagen III antibody(ab7778)

Anti-Collagen III antibody(ab7778)

Anti-Collagen III antibody(ab7778)

Anti-Collagen III antibody(ab7778)

Anti-Collagen III antibody ab7778 is a rabbit polyclonal antibody that is used in Collagen III western blotting, IHC and immunofluorescence. Suitable for human and rat samples.

- Tried and trusted by researchers since 2002
Specifications
Shipped At Conditions Blue Ice
Appropriate Long term Storage Conditions Store at -20°C.
Clonality Polyclonal
Applications ELISA, ICC, ICC/IF, IHC-P, IP, WB
Species Reactivity Cow, Human, Rat
Isotype IgG