JavaScript is disabled in your browser. Please enable JavaScript to view this website.

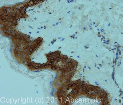
FITC Anti-Cytokeratin 14 antibody [LL002](ab77684)

$undefined

FITC Anti-Cytokeratin 14 antibody [LL002](ab77684)

FITC Anti-Cytokeratin 14 antibody [LL002](ab77684)

Mouse Monoclonal Cytokeratin 14 antibody - conjugated to FITC. Suitable for Flow Cyt, IHC-P and reacts with Human samples. Cited in 13 publications. Immunogen corresponding to Synthetic Peptide within Human Keratin, type I cytoskeletal 14 aa 450 to C-terminus conjugated to Bovine Thyroglobulin.
Specifications
Shipped At Conditions Blue Ice
Appropriate Long term Storage Conditions Store at +4°C.
Clonality Monoclonal
Applications Flow Cyt, IHC-P
Species Reactivity Human
Isotype IgG3
Conjugation FITC