JavaScript is disabled in your browser. Please enable JavaScript to view this website.

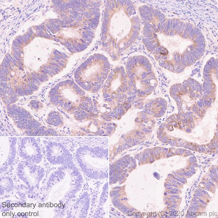
Anti-Bcl-XL antibody [2H12](ab77571)

$undefined

Anti-Bcl-XL antibody [2H12](ab77571)

Anti-Bcl-XL antibody [2H12](ab77571)

Anti-Bcl-XL antibody [2H12](ab77571)

Anti-Bcl-XL antibody [2H12](ab77571)

Mouse Recombinant Monoclonal Bcl-XL antibody. Suitable for WB, IHC-P and reacts with Mouse, Rat, Human samples. Cited in 4 publications.
Specifications
Shipped At Conditions Blue Ice
Appropriate Long term Storage Conditions Store at -20°C.
Clonality Monoclonal
Applications Flow Cyt, ICC, IHC-P, IP, WB
Species Reactivity Human, Mouse, Rat
Isotype IgG2a