JavaScript is disabled in your browser. Please enable JavaScript to view this website.

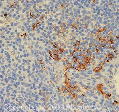
Anti-ENPP2/ATX antibody [1F8](AB77104)

$undefined

Anti-ENPP2/ATX antibody [1F8](AB77104)

Knockout Tested Mouse Monoclonal ENPP2/ATX antibody. Suitable for WB, IHC-P and reacts with Human samples. Cited in 11 publications.
Specifications
Shipped At Conditions Blue Ice
Appropriate Long term Storage Conditions Store at -20°C.
Clonality Monoclonal
Applications ICC, IHC-P, WB
Species Reactivity Human
Isotype IgG1