JavaScript is disabled in your browser. Please enable JavaScript to view this website.

Anti-Lrp2 / Megalin antibody(AB76969)

$undefined

Anti-Lrp2 / Megalin antibody(AB76969)

Anti-Lrp2 / Megalin antibody(AB76969)

Anti-Lrp2 / Megalin antibody(AB76969)

Anti-Lrp2 / Megalin antibody(AB76969)

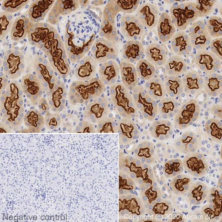
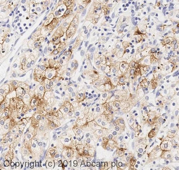
Anti-Lrp2 / Megalin antibody ab76969 is a rabbit polyclonal antibody that is used in Lrp2 / Megalin IHC. Suitable for human, mouse and rat samples.
Specifications
Shipped At Conditions Blue Ice
Appropriate Long term Storage Conditions Store at -20°C.
Clonality Polyclonal
Applications IHC-P
Species Reactivity Human, Monkey, Mouse, Rat
Isotype IgG