JavaScript is disabled in your browser. Please enable JavaScript to view this website.

Anti-CD31 antibody [EPR3094](AB76533)

$undefined

Anti-CD31 antibody [EPR3094](AB76533)

Anti-CD31 antibody [EPR3094](AB76533)

Anti-CD31 antibody [EPR3094](AB76533)

Anti-CD31 antibody [EPR3094](AB76533)

Anti-CD31 antibody [EPR3094](AB76533)

Anti-CD31 antibody [EPR3094](AB76533)

Anti-CD31 antibody [EPR3094](AB76533)

Anti-CD31 antibody [EPR3094](AB76533)

Anti-CD31 antibody [EPR3094](AB76533)

Anti-CD31 antibody [EPR3094](AB76533)

Anti-CD31 antibody [EPR3094](AB76533)

Anti-CD31 antibody [EPR3094](AB76533)

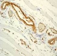
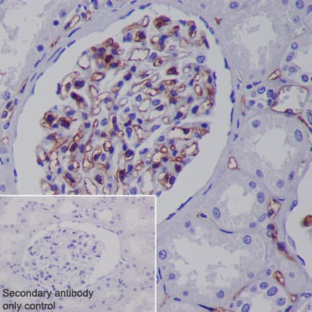
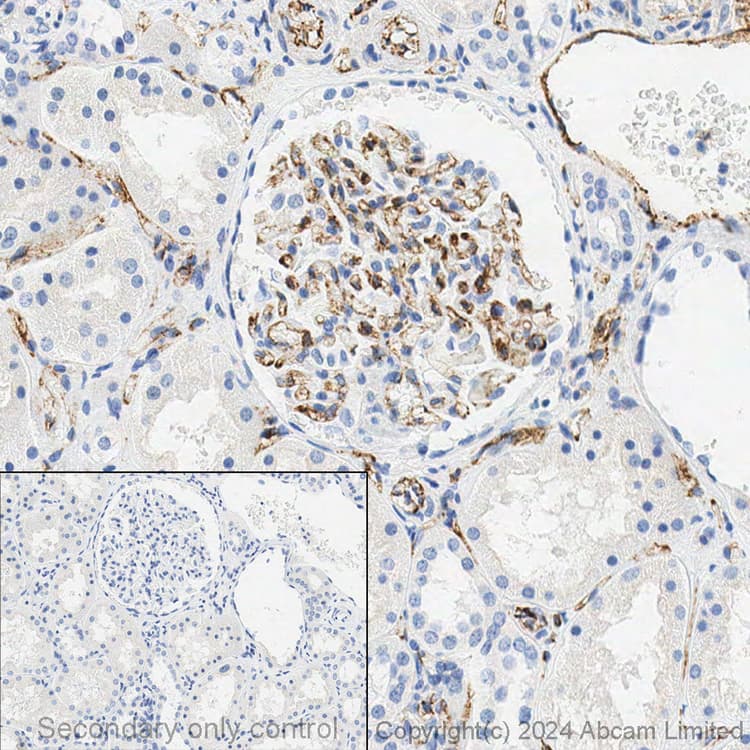
Anti-CD31 antibody [EPR3094] ab76533 is a rabbit monoclonal antibody that is used in CD31 western blotting, IHC and immunofluorescence. Suitable for human samples.

- Recombinant format for unrivaled batch-batch consistency: no need for same-lot requests
- Antibody clone EPR3094 has been tried and trusted by researchers since 2009 and is cited in >120 publications
- Specificity and sensitivity confirmed in IHC with multi-tissue microarray (TMA) validation
Specifications
Shipped At Conditions Blue Ice
Appropriate Long term Storage Conditions Store at -20°C.
Clonality Monoclonal
Applications Flow Cyt, ICC/IF, IHC-P, IP, WB
Species Reactivity Human
Isotype IgG