JavaScript is disabled in your browser. Please enable JavaScript to view this website.

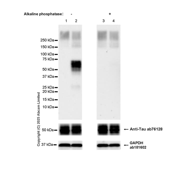
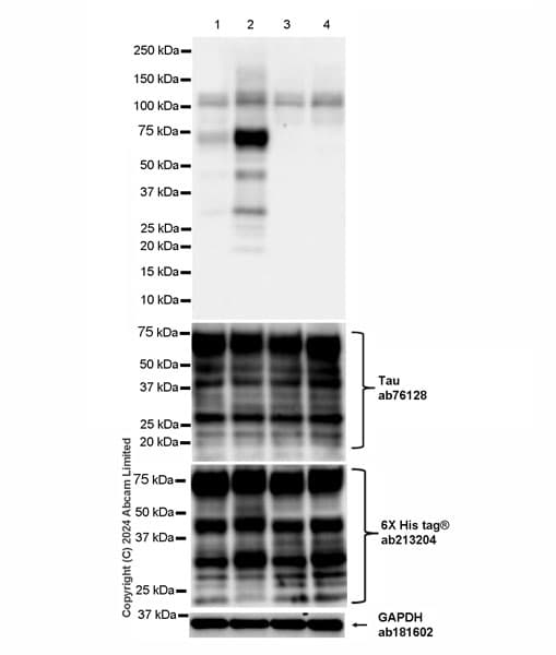
Anti-Tau antibody [EP2456Y](AB76128)

$undefined

Anti-Tau antibody [EP2456Y](AB76128)

Anti-Tau antibody [EP2456Y](AB76128)

Anti-Tau antibody [EP2456Y](AB76128)

Anti-Tau antibody [EP2456Y](AB76128)

Anti-Tau antibody [EP2456Y](AB76128)

Anti-Tau antibody [EP2456Y](AB76128)

Anti-Tau antibody [EP2456Y](AB76128)

Anti-Tau antibody [EP2456Y](AB76128)

Anti-Tau antibody [EP2456Y](AB76128)

Anti-Tau antibody [EP2456Y](AB76128)

Anti-Tau antibody [EP2456Y](AB76128)

Anti-Tau antibody [EP2456Y](AB76128)

Anti-Tau antibody [EP2456Y](AB76128)

Anti-Tau antibody [EP2456Y](AB76128)

Anti-Tau antibody [EP2456Y](AB76128)

Anti-Tau antibody [EP2456Y](AB76128)

Rabbit Recombinant Monoclonal TAU antibody. Suitable for WB, ICC/IF, Flow Cyt (Intra) and reacts with Mouse, Rat, Human samples. Cited in 22 publications.
Specifications
Shipped At Conditions Blue Ice
Appropriate Long term Storage Conditions Store at -20°C.
Clonality Monoclonal
Applications Flow Cyt (Intra), ICC/IF, IP, WB
Species Reactivity Human, Mouse, Rat
Isotype IgG