JavaScript is disabled in your browser. Please enable JavaScript to view this website.

Anti-TTF1/Nkx2-1 antibody [EP1584Y](AB76013)

$undefined

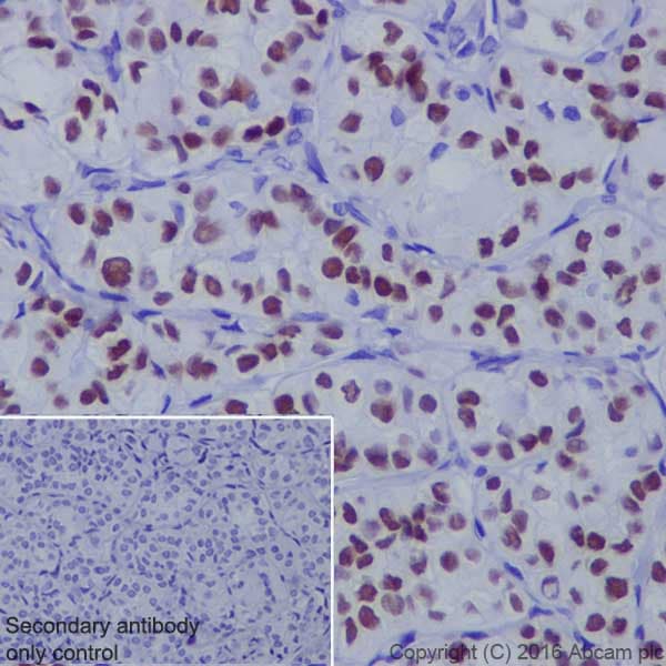
Ttf1 Nkx2 1 Antibody Ep1584y Ab76013  Immunohistochemistry Formalin Pfa Fixed Paraffin Embedded Sections Img40287

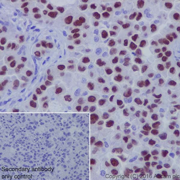
Ttf1 Nkx2 1 Antibody Ep1584y Ab76013  Immunohistochemistry Formalin Pfa Fixed Paraffin Embedded Sections Img54537

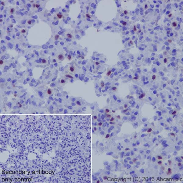
Ttf1 Nkx2 1 Antibody Ep1584y Ab76013  Immunohistochemistry Formalin Pfa Fixed Paraffin Embedded Sections Img89513

Ttf1 Nkx2 1 Antibody Ep1584y Ab76013  Immunohistochemistry Img439829

Ttf1 Nkx2 1 Antibody Ep1584y Ab76013  Western Blot Img142243

Ttf1 Nkx2 1 Antibody Ep1584y Ab76013  Western Blot Img155298

Ttf1 Nkx2 1 Antibody Ep1584y Ab76013  Western Blot Img165371

Ttf1 Nkx2 1 Antibody Ep1584y Ab76013  Western Blot Img27897

Ttf1 Nkx2 1 Antibody Ep1584y Ab76013  Western Blot Img443142

Ttf1 Nkx2 1 Antibody Ep1584y Ab76013  Western Blot Img73097

Anti-TTF1/Nkx2-1 antibody [EP1584Y] ab76013 is a rabbit monoclonal antibody that is used in TTF1/Nkx2-1 western blotting and IHC. Suitable for human, mouse and rat samples.

- Recombinant format for unrivaled batch-batch consistency: no need for same-lot requests
- Antibody clone EP1584Y has been tried and trusted by researchers since 2009 and is cited in >210 publications
- Specificity and sensitivity confirmed in IHC with multi-tissue microarray (TMA) validation
Specifications
Shipped At Conditions Blue Ice
Appropriate Long term Storage Conditions Store at -20°C.
Clonality Monoclonal
Applications Flow Cyt, ICC/IF, IHC-P, WB
Species Reactivity Human, Mouse, Rat
Isotype IgG