JavaScript is disabled in your browser. Please enable JavaScript to view this website.

Anti-PabPN1 antibody [EP3000Y](ab75855)

$undefined

Anti-PabPN1 antibody [EP3000Y](ab75855)

Anti-PabPN1 antibody [EP3000Y](ab75855)

Anti-PabPN1 antibody [EP3000Y](ab75855)

Anti-PabPN1 antibody [EP3000Y](ab75855)

Anti-PabPN1 antibody [EP3000Y](ab75855)

Anti-PabPN1 antibody [EP3000Y](ab75855)

Anti-PabPN1 antibody [EP3000Y](ab75855)

Anti-PabPN1 antibody [EP3000Y](ab75855)

Anti-PabPN1 antibody [EP3000Y](ab75855)

Anti-PabPN1 antibody [EP3000Y](ab75855)

Anti-PabPN1 antibody [EP3000Y](ab75855)

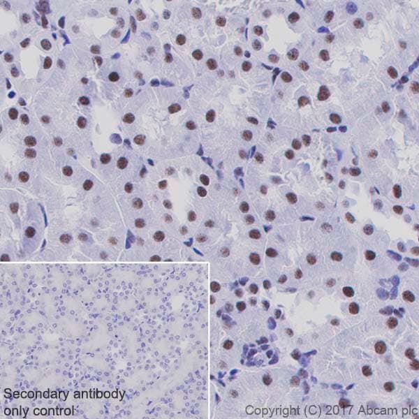
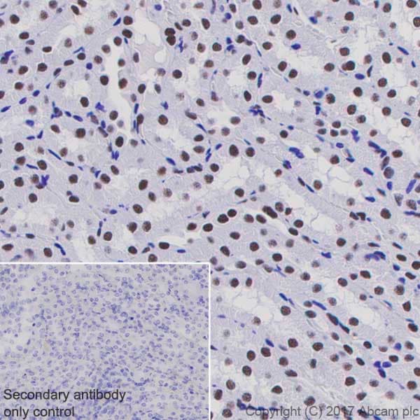
Rabbit Recombinant Monoclonal PabPN1 antibody. Suitable for IHC-P, IP, WB, ICC/IF, Flow Cyt (Intra) and reacts with Mouse, Rat, Human samples. Cited in 43 publications.
Specifications
Shipped At Conditions Blue Ice
Appropriate Long term Storage Conditions Store at -20°C.
Clonality Monoclonal
Applications Flow Cyt (Intra), ICC/IF, IHC-P, IP, WB
Species Reactivity Human, Mouse, Rat
Isotype IgG