JavaScript is disabled in your browser. Please enable JavaScript to view this website.

Anti-Cathepsin D antibody [EPR3057Y](ab75852)

$undefined

Cathepsin D Antibody Epr3057y Ab75852  Flow Cytometry Intracellular Img26794

Cathepsin D Antibody Epr3057y Ab75852  Immunocytochemistry Immunofluorescence Img49674

Cathepsin D Antibody Epr3057y Ab75852  Immunohistochemistry Formalin Pfa Fixed Paraffin Embedded Sections Img102571

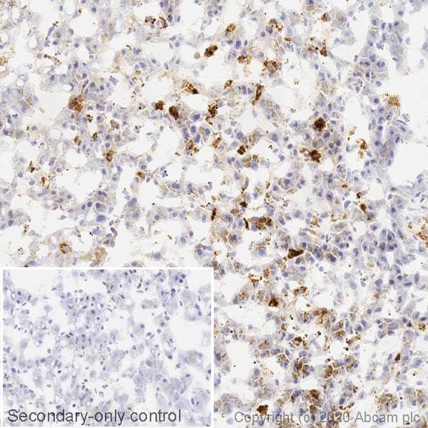
Cathepsin D Antibody Epr3057y Ab75852  Immunohistochemistry Formalin Pfa Fixed Paraffin Embedded Sections Img439678

Cathepsin D Antibody Epr3057y Ab75852  Immunohistochemistry Formalin Pfa Fixed Paraffin Embedded Sections Img55866

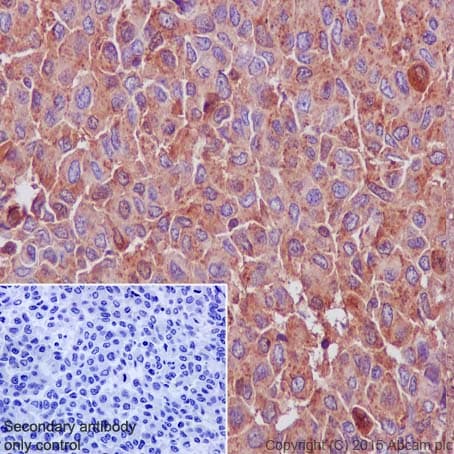
Cathepsin D Antibody Epr3057y Ab75852  Immunohistochemistry Formalin Pfa Fixed Paraffin Embedded Sections Img80792

Cathepsin D Antibody Epr3057y Ab75852  Immunohistochemistry Frozen Sections Img20887

Cathepsin D Antibody Epr3057y Ab75852  Immunoprecipitation Img11729

Cathepsin D Antibody Epr3057y Ab75852  Western Blot Img132015

Cathepsin D Antibody Epr3057y Ab75852  Western Blot Img53309

Cathepsin D Antibody Epr3057y Ab75852  Western Blot Img93424

Anti-Cathepsin D antibody [EPR3057Y] ab75852 is a rabbit monoclonal antibody that is used in Cathepsin D western blotting, IHC, immunofluorescence and flow cytometry. Suitable for human and mouse samples.

- Recombinant format for unrivaled batch-batch consistency: no need for same-lot requests
- Antibody clone EPR3057Y is the most widely used clone for Cathepsin D on the market and is cited in >160 publications
- One antibody for all your Cathepsin D staining, use in Cathepsin D western blotting, IHC, immunofluorescence and flow cytometry
Specifications
Shipped At Conditions Blue Ice
Appropriate Long term Storage Conditions Store at -20°C.
Clonality Monoclonal
Applications Flow Cyt (Intra), ICC/IF, IHC-Fr, IHC-P, IP, WB
Species Reactivity Human, Mouse
Isotype IgG