JavaScript is disabled in your browser. Please enable JavaScript to view this website.

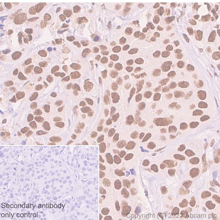
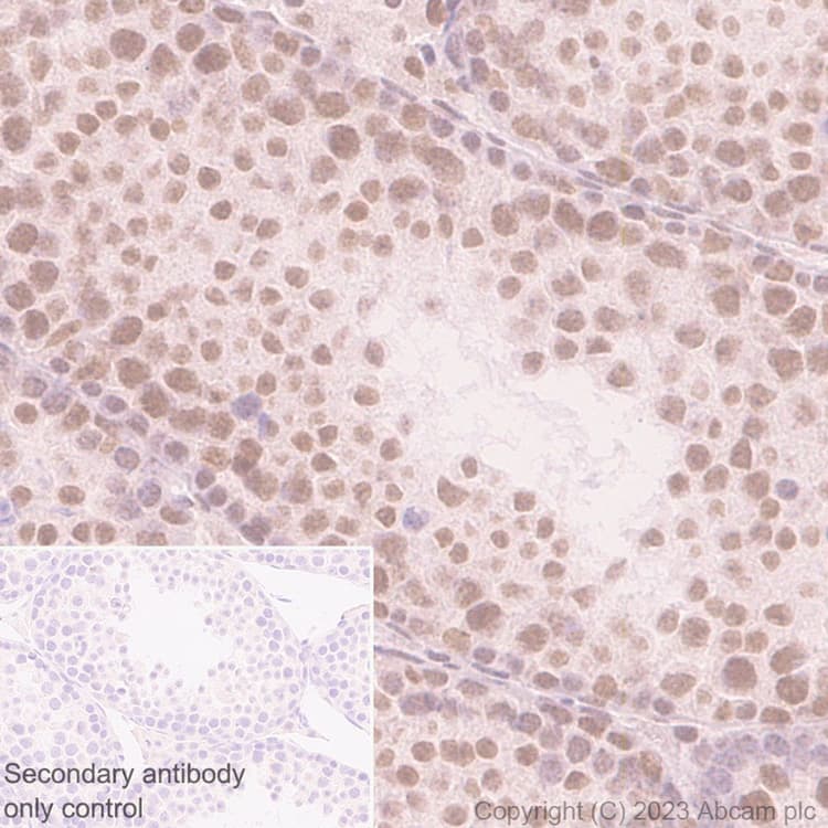
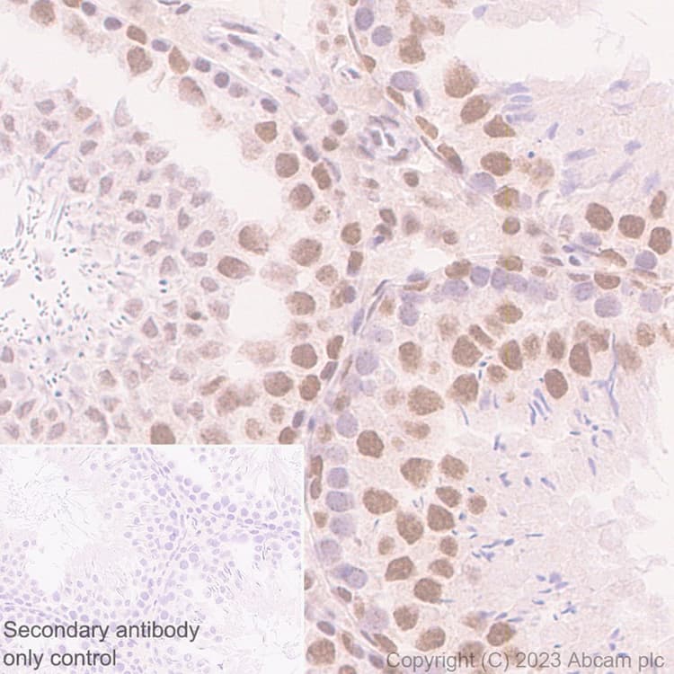
Anti-hnRNP C1/C2 antibody [EP3034Y](ab75822)

$undefined

Anti-hnRNP C1/C2 antibody [EP3034Y](ab75822)

Anti-hnRNP C1/C2 antibody [EP3034Y](ab75822)

Anti-hnRNP C1/C2 antibody [EP3034Y](ab75822)

Anti-hnRNP C1/C2 antibody [EP3034Y](ab75822)

Anti-hnRNP C1/C2 antibody [EP3034Y](ab75822)

Rabbit Recombinant Monoclonal hnRNP C1 + C2/HNRNPC antibody. Suitable for IHC-P, WB and reacts with Human, Mouse, Rat samples. Cited in 2 publications.
Specifications
Shipped At Conditions Blue Ice
Appropriate Long term Storage Conditions Store at -20°C.
Clonality Monoclonal
Applications Flow Cyt, IHC-P, IP, WB
Species Reactivity Human, Mouse, Rat
Isotype IgG