JavaScript is disabled in your browser. Please enable JavaScript to view this website.

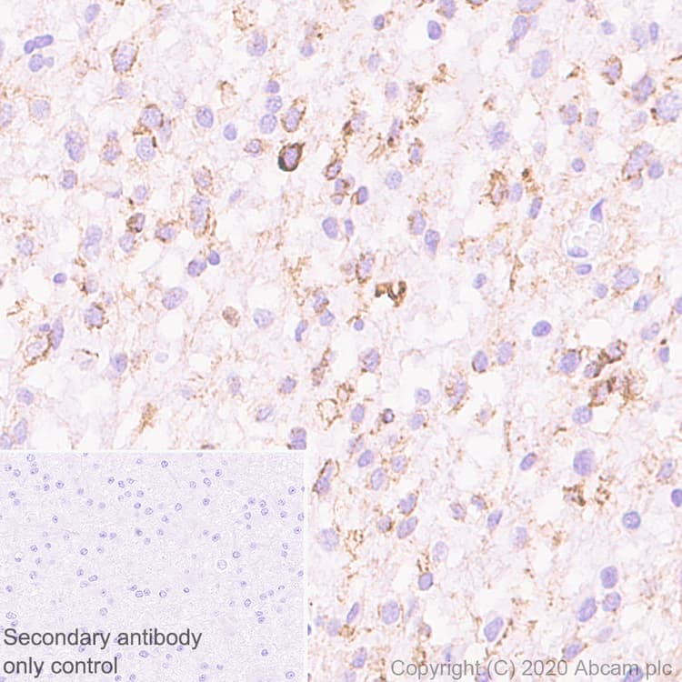
Anti-NCAM1 antibody [EP2567Y](ab75813)

$undefined

Anti-NCAM1 antibody [EP2567Y](ab75813)

Anti-NCAM1 antibody [EP2567Y](ab75813)

Anti-NCAM1 antibody [EP2567Y](ab75813)

Anti-NCAM1 antibody [EP2567Y](ab75813)

Anti-NCAM1 antibody [EP2567Y](ab75813)

Anti-NCAM1 antibody [EP2567Y](ab75813)

Rabbit Recombinant Monoclonal NCAM1 antibody. Suitable for IHC-P, IP, WB, ICC/IF, Flow Cyt (Intra) and reacts with Human samples. Cited in 50 publications.
Specifications
Shipped At Conditions Blue Ice
Appropriate Long term Storage Conditions Store at -20°C.
Clonality Monoclonal
Applications Flow Cyt (Intra), ICC/IF, IHC-P, IP, WB
Species Reactivity Human
Isotype IgG