JavaScript is disabled in your browser. Please enable JavaScript to view this website.

Anti-CD146 antibody [EPR3208](ab75769)

$undefined

Anti-CD146 antibody [EPR3208](ab75769)

Anti-CD146 antibody [EPR3208](ab75769)

Anti-CD146 antibody [EPR3208](ab75769)

Anti-CD146 antibody [EPR3208](ab75769)

Anti-CD146 antibody [EPR3208](ab75769)

Anti-CD146 antibody [EPR3208](ab75769)

Anti-CD146 antibody [EPR3208](ab75769)

Anti-CD146 antibody [EPR3208](ab75769)

Anti-CD146 antibody [EPR3208](ab75769)

Anti-CD146 antibody [EPR3208](ab75769)

Anti-CD146 antibody [EPR3208](ab75769)

Anti-CD146 antibody [EPR3208](ab75769)

Anti-CD146 antibody [EPR3208](ab75769)

Anti-CD146 antibody [EPR3208](ab75769)

Anti-CD146 antibody [EPR3208](ab75769)

Anti-CD146 antibody [EPR3208](ab75769)

Anti-CD146 antibody [EPR3208](ab75769)

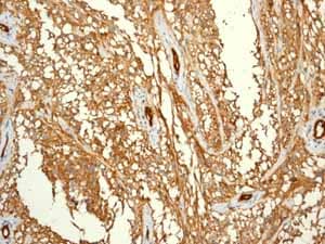
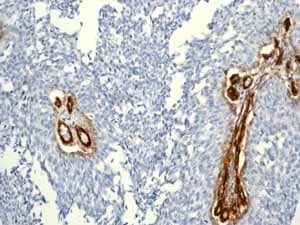
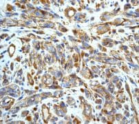
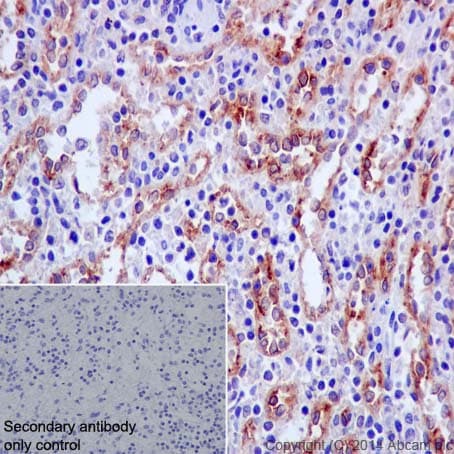
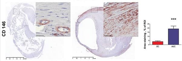
Anti-CD146 antibody [EPR3208] ab75769 is a rabbit monoclonal antibody that is used in CD146 western blotting, IHC, immunofluorescence and flow cytometry. Suitable for human, mouse and rat samples.

- Recombinant format for unrivaled batch-batch consistency: no need for same-lot requests
- Antibody clone EPR3208 has been tried and trusted by researchers since 2009 and is cited in >180 publications
- Specificity confirmed with MCAM knockout cell line validation
- Specificity and sensitivity confirmed in IHC with multi-tissue microarray (TMA) validation
Specifications
Shipped At Conditions Blue Ice
Appropriate Long term Storage Conditions Store at -20°C.
Clonality Monoclonal
Applications Flow Cyt (Intra), ICC/IF, IHC-Fr, IHC-P, WB
Species Reactivity Human, Mouse, Rat
Isotype IgG