JavaScript is disabled in your browser. Please enable JavaScript to view this website.

Anti-Angiotensin Converting Enzyme 1 antibody [EPR2757](ab75762)

$undefined

Anti-Angiotensin Converting Enzyme 1 antibody [EPR2757](ab75762)

Anti-Angiotensin Converting Enzyme 1 antibody [EPR2757](ab75762)

Anti-Angiotensin Converting Enzyme 1 antibody [EPR2757](ab75762)

Anti-Angiotensin Converting Enzyme 1 antibody [EPR2757](ab75762)

Anti-Angiotensin Converting Enzyme 1 antibody [EPR2757](ab75762)

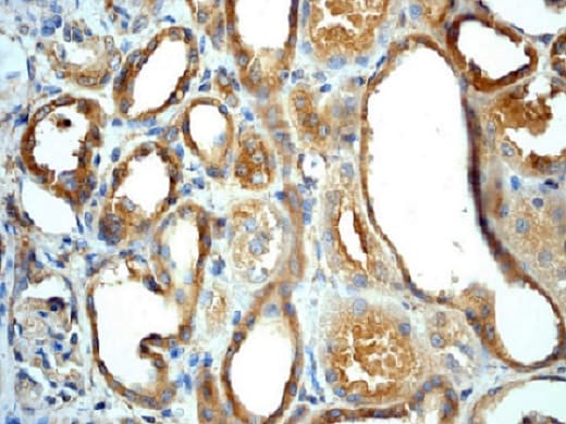
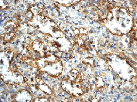
Rabbit Recombinant Monoclonal Angiotensin Converting Enzyme 1 antibody. Suitable for IHC-P, ELISA, WB and reacts with Human samples. Cited in 14 publications.
Specifications
Shipped At Conditions Blue Ice
Appropriate Long term Storage Conditions Store at -20°C.
Clonality Monoclonal
Applications ELISA, Flow Cyt, ICC/IF, IHC-P, IP, WB
Species Reactivity Human
Isotype IgG