JavaScript is disabled in your browser. Please enable JavaScript to view this website.

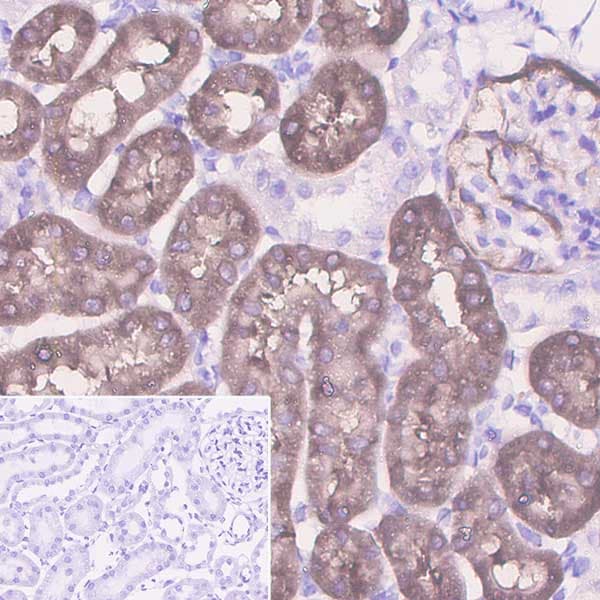
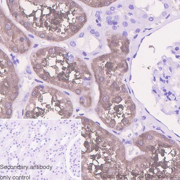
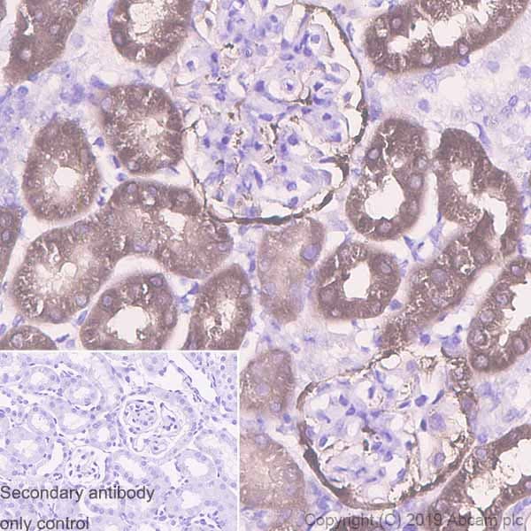
Anti-Aldolase B + Aldolase C antibody [EPR3138Y](ab75751)

$undefined

Anti-Aldolase B + Aldolase C antibody [EPR3138Y](ab75751)

Anti-Aldolase B + Aldolase C antibody [EPR3138Y](ab75751)

Anti-Aldolase B + Aldolase C antibody [EPR3138Y](ab75751)

Anti-Aldolase B + Aldolase C antibody [EPR3138Y](ab75751)

Anti-Aldolase B + Aldolase C antibody [EPR3138Y](ab75751)

Anti-Aldolase B + Aldolase C antibody [EPR3138Y](ab75751)

Rabbit Recombinant Monoclonal Aldolase B antibody. Suitable for IHC-P, WB, Flow Cyt and reacts with Mouse, Rat, Human samples. Cited in 7 publications.
Specifications
Shipped At Conditions Blue Ice
Appropriate Long term Storage Conditions Store at -20°C.
Clonality Monoclonal
Applications Flow Cyt, IHC-P, WB
Species Reactivity Human, Mouse, Rat
Isotype IgG