JavaScript is disabled in your browser. Please enable JavaScript to view this website.

Anti-Cdc25A (phospho S76) antibody(ab75743)

$undefined

Anti-Cdc25A (phospho S76) antibody(ab75743)

Anti-Cdc25A (phospho S76) antibody(ab75743)

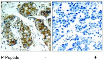
Rabbit Polyclonal Cdc25A phospho S76 antibody. Suitable for WB, IHC-P and reacts with Human, Mouse, Rat samples. Cited in 6 publications. Immunogen corresponding to Synthetic Peptide within Human M-phase inducer phosphatase 1 phospho S76.
Specifications
Shipped At Conditions Blue Ice
Appropriate Long term Storage Conditions Store at -20°C.
Clonality Polyclonal
Applications IHC-P, WB
Species Reactivity Human, Mouse, Rat
Isotype IgG