JavaScript is disabled in your browser. Please enable JavaScript to view this website.

Anti-Glutamine Synthetase antibody(AB73593)

$undefined

Anti-Glutamine Synthetase antibody(AB73593)

Anti-Glutamine Synthetase antibody(AB73593)

Anti-Glutamine Synthetase antibody(AB73593)

Anti-Glutamine Synthetase antibody(AB73593)

Anti-Glutamine Synthetase antibody(AB73593)

Anti-Glutamine Synthetase antibody(AB73593)

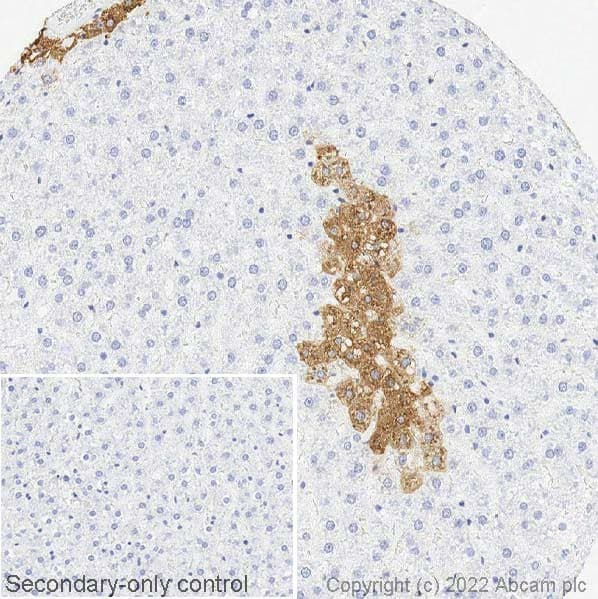
Anti-Glutamine Synthetase antibody ab73593 is a rabbit polyclonal antibody that is used in Glutamine Synthetase western blotting, IHC and immunofluorescence. Suitable for human, mouse and rat samples.

- Tried and trusted by researchers since 2009
Specifications
Shipped At Conditions Blue Ice
Appropriate Long term Storage Conditions Store at -20°C.
Clonality Polyclonal
Applications Common marmoset, Human, Mouse, Rat
Species Reactivity ICC/IF, IHC-P, WB
Isotype IgG