JavaScript is disabled in your browser. Please enable JavaScript to view this website.

Anti-MCP1 antibody(AB7202)

$undefined

Anti-MCP1 antibody(AB7202)

Anti-MCP1 antibody(AB7202)

Anti-MCP1 antibody(AB7202)

Anti-MCP1 antibody(AB7202)

Anti-MCP1 antibody(AB7202)

Anti-MCP1 antibody(AB7202)

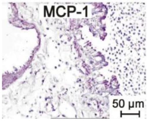
Rabbit Polyclonal MCP1 antibody. Suitable for WB, IHC-P, Neut, ICC/IF, IHC-Fr and reacts with Rat, Mouse samples. Cited in 104 publications. Immunogen corresponding to Recombinant Full Length Protein corresponding to Rat Ccl2.
Specifications
Shipped At Conditions Blue Ice
Appropriate Long term Storage Conditions Store at -20°C.
Clonality Polyclonal
Applications ICC/IF, IHC-Fr, IHC-P, Neut, WB
Species Reactivity Mouse, Rat
Isotype IgG