JavaScript is disabled in your browser. Please enable JavaScript to view this website.

Anti-EpCAM antibody(AB71916)

$undefined

Anti-EpCAM antibody(AB71916)

Anti-EpCAM antibody(AB71916)

Anti-EpCAM antibody(AB71916)

Anti-EpCAM antibody(AB71916)

Anti-EpCAM antibody(AB71916)

Anti-EpCAM antibody(AB71916)

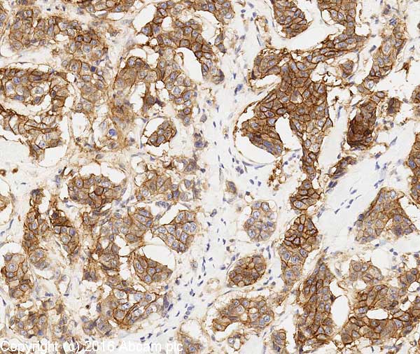
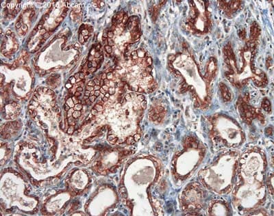
Anti-EpCAM antibody ab71916 is a rabbit polyclonal antibody that is used in EpCAM western blotting, IHC and immunofluorescence. Suitable for human, mouse and rat samples.

- Tried and trusted by researchers since 2009
Specifications
Shipped At Conditions Blue Ice
Appropriate Long term Storage Conditions Store at -20°C.
Clonality Polyclonal
Applications ICC/IF, IHC-P, WB
Species Reactivity Human, Mouse, Rat
Isotype IgG