JavaScript is disabled in your browser. Please enable JavaScript to view this website.

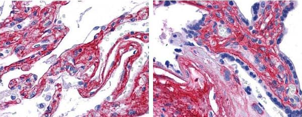
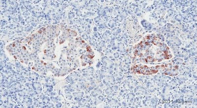
Anti-Collagen V antibody(ab7046)

$undefined

Anti-Collagen V antibody(ab7046)

Anti-Collagen V antibody(ab7046)

Anti-Collagen V antibody(ab7046)

Rabbit Polyclonal CO5A1 antibody. Suitable for ICC, IP, WB, sELISA, IHC-P, IHC-Fr and reacts with Mouse, Human, Cow samples. Cited in 56 publications. Immunogen corresponding to Native Full Length Protein corresponding to Human COL5A1.
Specifications
Shipped At Conditions Blue Ice
Appropriate Long term Storage Conditions Store at -20°C.
Clonality Polyclonal
Applications ICC, IHC-Fr, IHC-P, IP, WB, sELISA
Species Reactivity Cow, Human, Mouse
Isotype IgG